Acinic cell carcinoma
| Acinic cell carcinoma | |
|---|---|
| Other names | Acinic cell adenocarcinoma, Acinar cell carcinoma |
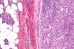
![]() | |
| Micrograph of an acinic cell carcinoma (right of image) and acinar glands (parotid gland - left of image). H&E stain. | |
| Pronunciation |
|
| Specialty | ENT surgery, Oncology, Oral and maxillofacial pathology |
| Symptoms | Slow-growing, painless mass in parotid region, occasional pain/tenderness (30-50%), facial nerve involvement (5-10%) |
| Complications | Recurrence (10-35%), metastasis (5-10%), high-grade transformation, facial nerve dysfunction |
| Usual onset | Any age; peak in 5th decade |
| Duration | Chronic |
| Types | Solid, microcystic, papillary-cystic, follicular |
| Causes | NR4A3 overexpression (80%), radiation exposure, genomic rearrangements |
| Risk factors | Prior radiation exposure, radioactive isotope exposure, certain chemical exposures, possible familial predisposition |
| Diagnostic method | Clinical examination, imaging (MRI/CT), fine needle aspiration, histopathology, immunohistochemistry |
| Differential diagnosis | Pleomorphic adenoma, Warthin tumor, mucoepidermoid carcinoma, secretory carcinoma, oncocytoma |
| Prevention | Avoiding radiation exposure |
| Treatment | Surgical resection, radiation therapy for high-risk cases |
| Medication | Chemotherapy for recurrent/metastatic disease |
| Prognosis | Excellent; 5-year survival 90-97% for localized disease; 10-year survival 88-94% |
| Frequency | 6-15% of all salivary gland malignancies; 0.13 cases per 100,000 annually |
| Deaths | Low mortality; significantly higher with high-grade transformation or distant metastasis |
Acinic cell carcinoma is a malignant epithelial neoplasm that shows differentiation toward serous acinar cells of salivary gland origin. First described by Godwin et al. in 1954, it represents approximately 6-15% of all salivary gland malignancies, making it the third most common after mucoepidermoid carcinoma and adenoid cystic carcinoma.[1]
Approximately 80-90% of acinic cell carcinomas arise in the parotid gland, with the remainder occurring in the submandibular gland and minor salivary glands, particularly those of the buccal mucosa and palate.[2] Rare cases have been reported in ectopic salivary gland tissue and in non-salivary sites including the breast, pancreas, and lung.[3]
Clinically, acinic cell carcinoma typically presents as a slow-growing, painless mass. The disease has a generally favorable prognosis, with 5-year survival rates exceeding 90% for localized disease, though recurrences can develop even decades after initial treatment.[4] While traditionally considered a low-grade malignancy, recent molecular and clinical studies have revealed significant heterogeneity, with a subset of tumors demonstrating high-grade transformation and more aggressive behavior.[5]
Historically, acinic cell carcinoma was classified among the "adenomas" until the 1950s, when its malignant potential was recognized. The World Health Organization officially reclassified it as a malignant epithelial neoplasm in 1972, acknowledging its capacity for local invasion, recurrence, and metastasis.[6] In 2017, the WHO classification further refined the understanding of this entity, distinguishing it from the newly described mammary analogue secretory carcinoma (MASC), which shares some morphological features but has distinct molecular characteristics.[7]
Molecularly, acinic cell carcinoma is characterized by the overexpression of the nuclear receptor NR4A3 in approximately 80% of cases, resulting from genomic rearrangements at chromosome 9q31.[8] Treatment typically involves complete surgical excision, with adjuvant radiation therapy reserved for cases with adverse features such as positive margins, high-grade histology, or regional metastasis.
Clinical Presentation
Typical presentation
Acinic cell carcinoma typically presents as a slow-growing, painless mass in the parotid region. The clinical features vary based on tumor location, size, and growth pattern but generally include:[9]
- Solitary, firm mass in the parotid gland (80-90% of cases)
- Slow growth pattern, with the duration of symptoms prior to diagnosis averaging 1-3 years
- Pain or tenderness in 30-50% of patients
- Facial nerve involvement in 5-10% of cases at presentation
- Skin involvement or fixation to underlying structures in advanced cases
- Occasional bilateral or multifocal disease (2-3% of cases)
The average size at presentation ranges from 1-3 cm, though tumors can occasionally reach >5 cm before diagnosis. Unlike many other malignancies, systemic symptoms such as weight loss or fatigue are uncommon unless the disease is very advanced.[10]
Clinical features by location
The presentation varies somewhat based on the site of origin:
- **Parotid gland**: Presents as a mass at the angle of the mandible or in the pre- or post-auricular region. May cause ear lobe elevation or facial asymmetry.
- **Submandibular gland**: Appears as a firm swelling in the submandibular triangle that may exhibit limited mobility.
- **Minor salivary glands**: When occurring in the oral cavity, typically presents as a submucosal nodule, most commonly on the buccal mucosa or palate. May be accompanied by overlying mucosal ulceration in 15-20% of cases.
- **Sublingual gland**: Extremely rare, presents as a floor of mouth mass that may cause tongue displacement.
Features suggestive of higher-grade disease
Certain clinical manifestations may suggest higher-grade or dedifferentiated acinic cell carcinoma and are associated with poorer prognosis:[11]
- Rapid growth or sudden acceleration in growth rate
- Early or prominent facial nerve involvement
- Skin ulceration or fixation to surrounding structures
- Regional lymphadenopathy (present in approximately 10-15% of cases overall, but more common in high-grade tumors)
- Pain, paresthesia, or neurologic symptoms
- Trismus (restricted jaw movement) when tumor involves the deep lobe of parotid
Presentation in specific populations
Acinic cell carcinoma demonstrates some unique features in certain demographic groups:
- **Pediatric patients**: In children, these tumors may grow more rapidly and are more likely to be symptomatic at presentation. Pain is reported in up to 65% of pediatric cases, compared to 30-50% in adults.[12]
- **Elderly patients**: In older individuals (>70 years), these tumors may display more aggressive features, with higher rates of extraparenchymal extension and facial nerve involvement.
- **During pregnancy**: Occasionally, these tumors may show accelerated growth during pregnancy, likely due to hormonal influences.
Recurrent and metastatic disease
Recurrent disease typically manifests as a mass at or near the original tumor site, occurring in approximately 10-35% of patients, with most recurrences developing within the first 5 years after initial treatment.[13]
Distant metastasis is uncommon (5-10% of cases) and typically involves the lungs, bone, and, less frequently, the liver and brain. Patients with distant metastases may present with site-specific symptoms, including:
- Pulmonary metastases: Cough, dyspnea, hemoptysis
- Bone metastases: Pain, pathologic fractures
- Brain metastases: Headache, focal neurologic deficits, seizures
Functional manifestations
Acinic cell carcinoma rarely causes significant salivary dysfunction, as the tumor typically affects only a portion of the gland. However, larger tumors involving a substantial portion of the parotid may occasionally cause:
- Reduced saliva production
- Alterations in saliva consistency
- Dry mouth (xerostomia) on the affected side
These functional changes result from the physical disruption of normal acinar cells and ductal structures, as well as potential obstruction of major salivary ducts by the tumor mass.[14]
Diagnosis
Clinical evaluation
The initial evaluation of a patient with suspected acinic cell carcinoma typically begins with a comprehensive history and physical examination. Important elements include:[15]
- Detailed assessment of mass location, size, consistency, mobility, and growth pattern
- Evaluation of facial nerve function through examination of all branches
- Assessment of regional lymph nodes in all neck levels
- Evaluation of oral cavity and oropharynx for potential extension or additional primary sites
- Cranial nerve examination to assess for perineural invasion
Imaging studies
Imaging plays a crucial role in diagnosis, staging, and surgical planning for acinic cell carcinoma. The following modalities are commonly employed:[16]
- Ultrasonography: Often used as the initial imaging study for superficial parotid masses. It can differentiate solid from cystic lesions and provide guidance for fine-needle aspiration. However, ultrasonography has limited ability to assess deep lobe extension or skull base involvement.
- Computed Tomography (CT): Provides excellent bony detail and can evaluate the extent of tumor invasion into surrounding structures. CT is particularly useful for:
- Assessing involvement of the mandible, skull base, or stylomastoid foramen
- Detecting calcifications within the tumor (occasionally present in acinic cell carcinoma)
- Evaluating cervical lymph nodes for metastatic spread
- Magnetic Resonance Imaging (MRI): Considered the gold standard for salivary gland tumors due to superior soft tissue contrast. Key MRI findings in acinic cell carcinoma include:[17]
- T1-weighted images: typically hypointense to isointense relative to normal gland tissue
- T2-weighted images: moderately hyperintense
- Post-contrast: moderate enhancement, sometimes with internal cystic or necrotic areas
- Poorly defined margins may suggest more aggressive behavior
- Better delineation of perineural spread compared to CT
- Positron Emission Tomography/Computed Tomography (PET/CT): Not routinely used for initial diagnosis but may be helpful in:
- Detecting occult distant metastases
- Evaluating treatment response
- Surveillance for recurrent disease
Histopathologic features
Basophilic, bland cells similar to acinar cells. Growth pattern: solid - acinar cells, microcytic - small cystic spaces mucinous or eosinophilic, papillary-cystic - large cystic lined by epithelium, follicular - similar to thyroid tissue.
These tumors, which resemble serous acinar cells, vary in their behavior from locally aggressive to blatantly malignant.
It can also appear in the breast. The pancreatic form of acinic cell carcinoma is a rare subtype of exocrine pancreatic cancer. Exocrine pancreatic cancers are the most common form of pancreatic cancer when compared to endocrine pancreatic cancer.[18]
Acinic cell carcinomas arise most frequently in the parotid gland. Other sites of primary tumors have included the submandibular gland and other major and minor salivary glands. There have been rare cases of primary tumors involving the parapharyngeal space and the sublingual gland.[19][20]
-

-
Intermed. mag. -
Very high mag.
Cytologic and histopathologic diagnosis
The definitive diagnosis of acinic cell carcinoma relies on tissue sampling and pathological evaluation:[21]
- Fine-Needle Aspiration Cytology (FNAC): Often the initial diagnostic procedure due to its minimally invasive nature. Characteristic cytologic features include:
- Abundant basophilic granular cytoplasm
- Small, round, eccentric nuclei with minimal atypia
- Acinar, microcystic, or papillary arrangements
- Variable amounts of lymphoid tissue in the background
The diagnostic accuracy of FNAC for acinic cell carcinoma ranges from 68-88%, with limitations including sampling error and difficulty distinguishing from other salivary gland neoplasms with similar cytologic features, particularly secretory carcinoma with which it shares significant morphologic overlap.
- Core Needle Biopsy: May provide more tissue for histopathologic and ancillary studies compared to FNAC, with a higher diagnostic accuracy (85-95%). However, it carries a slightly higher risk of complications including facial nerve injury, tumor seeding, and fistula formation.
- Intraoperative Frozen Section: May be used to confirm diagnosis during surgery and guide the extent of resection. Accuracy rates range from 90-95%, though definitive grading and subtyping may be deferred to permanent sections.
- Surgical Resection Specimen: Provides the most comprehensive histopathologic evaluation, allowing for assessment of growth pattern, invasion, and margins.
Immunohistochemistry and molecular pathology
Ancillary studies play an increasingly important role in the diagnosis of acinic cell carcinoma, particularly in distinguishing it from mimics such as secretory carcinoma:[22]
- Immunohistochemical profile:
- DOG1: Diffuse and strong expression in acinic cell carcinoma, negative or focal in secretory carcinoma
- Mammaglobin: Typically negative or focally positive (unlike secretory carcinoma which shows diffuse positivity)
- S100: Variable, often focal (versus diffuse in secretory carcinoma)
- SOX10: Usually positive
- Amylase and other digestive enzymes: Frequently positive
- Ki-67: Generally low proliferation index in conventional tumors, elevated in high-grade transformed variants
- Molecular testing:
- Fluorescence in situ hybridization (FISH) for ETV6 rearrangement: Negative in acinic cell carcinoma, positive in secretory carcinoma
- NR4A3 overexpression analysis: Present in approximately 80% of acinic cell carcinomas
- Next-generation sequencing: May reveal characteristic genomic alterations, including rearrangements at chromosome 9q31 involving NR4A3
Differential diagnosis
Several salivary gland neoplasms and other conditions may mimic acinic cell carcinoma clinically and/or pathologically:[23]
- Secretory carcinoma (formerly mammary analogue secretory carcinoma): The most challenging differential diagnosis, characterized by ETV6-NTRK3 fusion and strong S100 and mammaglobin expression.
- Oncocytoma: Distinguished by abundant eosinophilic (rather than basophilic) cytoplasm and absence of zymogen granules.
- Mucoepidermoid carcinoma: Contains mucous, intermediate, and epidermoid cells; mucin-positive by special stains.
- Pleomorphic adenoma: Distinguished by chondromyxoid stroma and ductal/myoepithelial components.
- Normal salivary gland tissue: Well-organized architecture and absence of invasive features.
- Metastatic renal cell carcinoma: Clinical history, PAX8 positivity, and absence of salivary markers help distinguish.
Staging
Acinic cell carcinoma, like other salivary gland malignancies, is staged according to the American Joint Committee on Cancer (AJCC) TNM staging system, 8th edition:[24]
- T staging is based on tumor size and local invasion:
- T1: Tumor ≤2 cm without extraparenchymal extension
- T2: Tumor >2 cm but ≤4 cm without extraparenchymal extension
- T3: Tumor >4 cm and/or extraparenchymal extension
- T4a: Tumor invades skin, mandible, ear canal, or facial nerve
- T4b: Tumor invades skull base, pterygoid plates, or encases carotid artery
- N staging assesses regional lymph node involvement:
- N0: No regional lymph node metastasis
- N1: Metastasis in a single ipsilateral lymph node, ≤3 cm
- N2: More extensive regional node involvement
- N3: Metastasis in a lymph node >6 cm
- M staging indicates distant metastasis:
- M0: No distant metastasis
- M1: Distant metastasis present
Molecular Pathogenesis
Genetic characteristics
The molecular basis of acinic cell carcinoma has been elucidated through comprehensive genomic analyses. The most significant recurrent genetic alteration is the overexpression of the nuclear receptor NR4A3 (nuclear receptor subfamily 4 group A member 3), present in approximately 80% of cases.[25] This overexpression typically results from genomic rearrangements at chromosome 9q31, leading to enhancer hijacking where strong tissue-specific enhancer elements are juxtaposed with the NR4A3 gene.
Unlike many other salivary gland malignancies which are driven by specific fusion oncogenes (e.g., MYB-NFIB in adenoid cystic carcinoma or ETV6-NTRK3 in secretory carcinoma), conventional acinic cell carcinoma is characterized by a relatively low mutational burden. Whole-genome and whole-exome sequencing studies have demonstrated a mean of 13 non-synonymous mutations per tumor, significantly lower than many other adult solid malignancies.[26]
Additional recurrent genetic alterations reported in acinic cell carcinoma include:
- TP53 mutations (15-20% of cases), particularly in high-grade or dedifferentiated variants
- PI3K/AKT/mTOR pathway alterations (approximately 10-15% of cases)
- Chromatin remodeling gene mutations (e.g., KMT2C, KMT2D)
- Rare BRAF V600E mutations (<5% of cases)
Cell of origin and differentiation
Acinic cell carcinoma is believed to arise from the pluripotent stem cells of the salivary gland ductal system with subsequent differentiation toward serous acinar cells.[27] The tumors recapitulate the structure and function of normal serous acinar cells, including the production of amylase and other digestive enzymes. This is evidenced by:
- Ultrastructural studies revealing zymogen-like secretory granules within tumor cells
- Immunohistochemical expression of acinar markers such as DOG1, amylase, and chymotrypsin
- Maintenance of polarized secretory function in well-differentiated tumors
The molecular mechanisms underlying the acquisition of acinar differentiation in these tumors likely involve the NR4A3 transcription factor, which regulates genes associated with secretory function and cellular differentiation. Experimental evidence suggests that NR4A3 overexpression in salivary gland progenitor cells is sufficient to induce acinar differentiation and promote neoplastic transformation.[28]
Tumor microenvironment
Recent studies have characterized the tumor microenvironment of acinic cell carcinoma, revealing several notable features:
- Low to moderate lymphocytic infiltration, with CD8+ T-cells predominating in most cases
- Relatively low PD-L1 expression compared to other salivary gland malignancies
- Desmoplastic stromal response that increases with tumor grade and stage
- Relatively low microvessel density consistent with the typically indolent growth pattern
The immunological landscape of acinic cell carcinoma varies significantly between conventional tumors and those with high-grade transformation. High-grade transformed tumors typically display increased immune cell infiltration, upregulation of immune checkpoint molecules, and heightened genomic instability, potentially explaining their more aggressive clinical behavior and potentially different therapeutic susceptibilities.[29]
Prognosis
Prognosis is generally excellent for acinic cell carcinoma of the parotid gland, with five-year survival rates of 90.6-97.15% for localized disease.[30] Ten-year survival rates range from 88-93.81%, and the 20-year survival rate is approximately 89.74% according to a comprehensive SEER database analysis.[31]
However, patients with acinic cell carcinomas with high-grade transformation (sometimes also called dedifferentiation) have significantly worse survival, with 5-year survival rates dropping to approximately 33%.[32] For cases with distant metastasis, long-term survival rates are much lower, with 20-year survival at 21.99%.[33]
Acinic cell carcinoma originating in the lung is extremely rare, with fewer than 100 documented cases in the literature.[34] The prognosis for this pulmonary variant is more guarded than for salivary gland presentations, but remains considerably better than for conventional non-small cell lung cancer types. Five-year survival rates for primary pulmonary acinic cell carcinoma range from 56-67%, compared to approximately 25% for typical non-small cell lung cancer.[35]
Prognostic factors specific to lung acinic cell carcinoma include tumor size, presence of pleural invasion, lymph node status, and histologic grade. Patients with tumors smaller than 3 cm without pleural invasion or lymph node involvement have the most favorable outcomes.[36] Surgical resection remains the primary treatment modality, with limited data supporting the efficacy of adjuvant therapies.[37]
Treatment
- Surgical resection is the mainstay of treatment, whenever possible. Complete surgical excision with adequate margins is essential for optimal outcomes.[38] If tumor is completely removed, post-operative radiation therapy is typically not needed since acinic cell carcinoma is considered a low-grade histology. However, modern evidence indicates post-operative radiation therapy significantly improves outcomes for acinic cell carcinoma when certain high-risk features are present:
- Positive or close margins (<5 mm)
- Incomplete resection or gross residual disease
- Tumor invades beyond gland (extraparenchymal extension)
- Positive lymph nodes (nodal metastases)
- Perineural invasion, particularly of major nerves
- Lymphovascular invasion
- High-grade histology or dedifferentiated/high-grade transformation (increased risk of recurrence by 5-8 fold)[39]
- Recurrent disease
- Large tumor size (typically >4 cm)
- Deep lobe involvement in parotid tumors[40]
- Modern radiation therapy modalities have improved efficacy and reduced side effects compared to historical approaches:[41]
- Intensity-modulated radiation therapy (IMRT): Delivers precise radiation doses to tumor areas while minimizing exposure to surrounding tissues
- Neutron beam radiation: More effective than conventional photon therapy for certain salivary gland tumors but available at only a few specialized centers
- Proton therapy: Offers potentially superior dose distribution compared to photon-based treatments
- Carbon ion therapy: Emerging evidence suggests efficacy for radioresistant salivary gland tumors
- Chemotherapy has limited efficacy and is generally reserved for recurrent or metastatic disease not amenable to further surgical resection or radiation therapy. Commonly used agents include platinum-based combinations and taxanes.[42]
- Emerging therapeutic approaches based on molecular understanding:
- Targeted therapy: Recent molecular characterization has identified the NR4A3 transcription factor as consistently overexpressed in acinic cell carcinoma, potentially representing a future therapeutic target[43]
- Immunotherapy: Checkpoint inhibitors are being investigated in clinical trials for salivary gland malignancies, with preliminary evidence suggesting potential activity in tumors with high mutational burden[44]
Epidemiology
Acinic cell carcinoma accounts for approximately 6-15% of all primary malignant salivary gland tumors, making it the third most common malignant salivary gland neoplasm after mucoepidermoid carcinoma and adenoid cystic carcinoma.[2] It appears in all age groups, but presents at a younger median age (approx. 52 years) than most other salivary gland cancers, with a peak incidence in the fifth decade of life. There is a slight female predominance with a female-to-male ratio of approximately 3:2.[45] Occurrences in children are not uncommon, representing 1-4% of all salivary gland malignancies in the pediatric population.[19]
The annual incidence of acinic cell carcinoma is estimated at 0.13 cases per 100,000 individuals worldwide, though significant geographic variations exist. Recent epidemiological studies have documented a rising incidence in Western nations, with an approximate annual increase of 1.1-1.3% over the past three decades.[46] This increase has been attributed to improved diagnostic techniques, particularly advanced imaging and molecular diagnostics, as well as potential environmental factors.
Salivary gland cancers seem on the rise in many Western Nations and their risk factors remain incompletely characterized. Among the established risk factors are:
- Prior radiation exposure, including therapeutic radiation for head and neck cancers and environmental radiation exposure[47]
- Radioactive isotope exposure, particularly iodine-131 and caesium-137 radionuclides, which can concentrate in salivary gland tissue[48]
- Occupational exposures to certain industrial chemicals and heavy metals[49]
- Cigarette smoking (weak association)
- Epstein-Barr virus infection (particularly in Asian populations)[50]
- Possible familial predisposition in rare cases[51]
Recent molecular epidemiologic studies have identified recurrent genetic alterations in acinic cell carcinomas, including consistent overexpression of the nuclear receptor NR4A3 due to genomic rearrangements at chromosome 9q31, present in approximately 80% of cases.[52] These molecular findings may eventually form the basis for targeted screening in high-risk populations.
The role of ionizing radiation in salivary gland carcinogenesis is particularly significant. From a biophysical perspective, salivary gland tissue contains high concentrations of metal ions and electrolytes that can potentiate free radical formation after radiation exposure, leading to DNA damage through indirect effects beyond direct ionization.[53] Additionally, radioactive iodine isotopes can concentrate up to 50 times higher in salivary tissue compared to plasma due to the expression of sodium/iodide symporter proteins, explaining their specific targeting of these glands.[54]
-
Relative incidence of parotid tumors, showing carcinoma ex pleomorphic adenoma at right.[55] -
Relative incidence of submandibular tumors, showing carcinoma ex pleomorphic adenoma at bottom-right.[55]
Acinic cell carcinoma of the lung
Acinic cell carcinoma of the lung is a very rare variant of lung cancer that, in this organ, is classified among the salivary gland-like carcinoma of the lung. Fewer than 1% of malignancies beginning in the lower respiratory tract are acinic cell carcinomas.[56]
First described in 1972 by Fechner et al., fewer than 100 cases have been reported in the medical literature worldwide.[57] These tumors typically affect individuals between 40 and 70 years of age, with a slight female predominance and no strong association with smoking history, unlike conventional lung carcinomas.[58]
Histologically, pulmonary acinic cell carcinoma resembles its salivary gland counterpart, characterized by sheets or islands of polygonal tumor cells with basophilic granular cytoplasm containing zymogen-like PAS-positive granules that are diastase-resistant. Immunohistochemically, tumor cells typically express cytokeratins, amylase, lysozyme, and alpha-1 antitrypsin.[59]
These tumors are most commonly located in the peripheral regions of the lungs, particularly in the lower lobes. Surgical resection is the primary treatment modality, with lobectomy or pneumonectomy with mediastinal lymph node dissection being the preferred approach for resectable disease.[60] Five-year survival rates range from 56% to 67%, significantly better than conventional non-small cell lung cancer but worse than salivary gland acinic cell carcinoma. Prognostic factors include tumor size, presence of pleural invasion, lymph node status, and histologic grade.[61]
References
- ^ Godwin JT, Foote FW Jr, Frazell EL (1954). "Acinic cell adenocarcinoma of the parotid gland; report of twenty-seven cases". American Journal of Pathology. 30 (3): 465–477. PMC 1942372. PMID 13158491.
- ^ a b El-Naggar AK, Chan JK, Grandis JR, Takata T, Slootweg PJ, eds. (2017). WHO Classification of Head and Neck Tumours. Vol. 9. International Agency for Research on Cancer. pp. 173–174.
- ^ Thompson LD (November 2010). "Salivary gland acinic cell carcinoma". Ear, Nose, & Throat Journal. 89 (11): 530–532. doi:10.1177/014556131008901115. PMID 21086763.
- ^ Vander Poorten V, Triantafyllou A, Thompson LD, et al. (November 2016). "Salivary acinic cell carcinoma: reappraisal and update". European Archives of Oto-Rhino-Laryngology. 273 (11): 3511–3531. doi:10.1007/s00405-015-3855-7. PMID 26833208.
- ^ Skálová A, Sima R, Vanecek T, et al. (August 2009). "Acinic cell carcinoma with high-grade transformation: a report of 9 cases with immunohistochemical study and analysis of TP53 and HER-2/neu genes". American Journal of Surgical Pathology. 33 (8): 1137–1145. doi:10.1097/PAS.0b013e3181a38e1c. PMID 19461508.
- ^ Batsakis JG, Luna MA, el-Naggar AK (November 1990). "Histopathologic grading of salivary gland neoplasms: II. Acinic cell carcinomas". Annals of Otology, Rhinology, and Laryngology. 99 (11): 929–933. doi:10.1177/000348949009901116. PMID 2173659.
- ^ Skalova A (July 2013). "Mammary analogue secretory carcinoma of salivary gland origin: an update and expanded morphologic and immunohistochemical spectrum of recently described entity". Head and Neck Pathology. 7 (Suppl 1): S30 – S36. doi:10.1007/s12105-013-0455-y. PMC 3712090. PMID 23821214.
- ^ Haller F, Bieg M, Will R, et al. (January 2019). "Enhancer hijacking activates oncogenic transcription factor NR4A3 in acinic cell carcinomas of the salivary glands". Nature Communications. 10 (1): 368. doi:10.1038/s41467-018-08069-x. PMC 6341117. PMID 30664632.
- ^ Vander Poorten V, Triantafyllou A, Thompson LD, et al. (November 2016). "Salivary acinic cell carcinoma: reappraisal and update". European Archives of Oto-Rhino-Laryngology. 273 (11): 3511–3531. doi:10.1007/s00405-015-3855-7. PMID 26833208.
- ^ Sheyn I, Yassin R, Seiden A, Nestok BR (2000). "Papillary-cystic variant of acinic cell carcinoma of the salivary gland diagnosed by fine needle aspiration biopsy". Acta Cytologica. 44 (6): 1073–1076. doi:10.1159/000328590. PMID 11127741.
- ^ Skálová A, Sima R, Vanecek T, et al. (August 2009). "Acinic cell carcinoma with high-grade transformation: a report of 9 cases with immunohistochemical study and analysis of TP53 and HER-2/neu genes". American Journal of Surgical Pathology. 33 (8): 1137–1145. doi:10.1097/PAS.0b013e3181a38e1c. PMID 19461508.
- ^ Levine SB, Potsic WP, Handler SD, Wetmore RF (May 1989). "Salivary gland tumors in children". Archives of Otolaryngology–Head & Neck Surgery. 115 (5): 520–523. doi:10.1001/archotol.1989.01860290014006. PMID 2539843.
- ^ Gomez DR, Katabi N, Zhung J, et al. (May 2009). "Clinical and pathologic prognostic features in acinic cell carcinoma of the parotid gland". Cancer. 115 (10): 2128–2137. doi:10.1002/cncr.24259. PMID 19309748.
- ^ Mahmood U, Koshy M, Goloubeva O, Suntharalingam M (October 2011). "Adjuvant radiation therapy for high-grade and/or locally advanced major salivary gland tumors". Archives of Otolaryngology–Head & Neck Surgery. 137 (10): 1025–1030. doi:10.1001/archoto.2011.158. PMID 22006778.
- ^ Bradley PJ, McGurk M (July 2013). "Incidence of salivary gland neoplasms in a defined UK population". British Journal of Oral and Maxillofacial Surgery. 51 (5): 399–403. doi:10.1016/j.bjoms.2012.10.002. PMID 23103239.
- ^ Abdel Razek AA, Mukherji SK (May 2018). "State-of-the-art imaging of salivary gland tumors". Neuroimaging Clinics of North America. 28 (2): 303–317. doi:10.1016/j.nic.2018.01.009. PMID 29622121.
- ^ Kashiwagi N, Dote K, Kawano K, et al. (October 2012). "MRI findings of acinic cell carcinoma of the salivary gland: correlation with pathological features". British Journal of Radiology. 85 (1018): e555 – e561. doi:10.1259/bjr/33127593. PMC 3474088. PMID 22595497.
- ^ Coyne JD, Dervan PA (July 2002). "Primary acinic cell carcinoma of the breast". Journal of Clinical Pathology. 55 (7): 545–547. doi:10.1136/jcp.55.7.545. PMC 1769684. PMID 12101208.
- ^ a b "Acinic Cell Carcinoma Overview". Acinic Cell Carcinoma Information Center. 7 December 2009. Archived from the original on 2009-12-15.
- ^ Chiosea SI, Griffith C, Assaad A, Seethala RR (March 2012). "The profile of acinic cell carcinoma after recognition of mammary analog secretory carcinoma". The American Journal of Surgical Pathology. 36 (3): 343–350. doi:10.1097/pas.0b013e318242a5b0. PMID 22301503. S2CID 12531332.
- ^ Stanley MW, Horwitz CA, Henry MJ, Burton LG, Lowhagen T (1988). "Acinic cell carcinoma: diagnostic challenges using fine-needle aspiration". Diagnostic Cytopathology. 4 (1): 53–58. doi:10.1002/dc.2840040115. PMID 3356738.
- ^ Chiosea SI, Griffith C, Assaad A, Seethala RR (March 2012). "The profile of acinic cell carcinoma after recognition of mammary analog secretory carcinoma". The American Journal of Surgical Pathology. 36 (3): 343–350. doi:10.1097/pas.0b013e318242a5b0. PMID 22301503. S2CID 12531332.
- ^ Bishop JA (March 2013). "Unmasking MASC: bringing to light the unique morphologic, immunohistochemical and genetic features of the newly recognized mammary analogue secretory carcinoma of salivary glands". Head and Neck Pathology. 7 (1): 35–39. doi:10.1007/s12105-013-0429-0. PMC 3597008. PMID 23459858.
- ^ Amin MB, Edge SB, Greene FL, et al. (2017). AJCC Cancer Staging Manual (8th ed.). New York: Springer.
- ^ Haller F, Bieg M, Will R, et al. (January 2019). "Enhancer hijacking activates oncogenic transcription factor NR4A3 in acinic cell carcinomas of the salivary glands". Nature Communications. 10 (1): 368. doi:10.1038/s41467-018-08069-x. PMC 6341117. PMID 30664632.
- ^ Jee KJ, Persson M, Heikinheimo K, et al. (February 2013). "Genomic profiles and CRTC1-MAML2 fusion distinguish different subtypes of mucoepidermoid carcinoma". Modern Pathology. 26 (2): 213–222. doi:10.1038/modpathol.2012.154. PMID 23018873.
- ^ Batsakis JG, el-Naggar AK, Luna MA (October 1990). "Histopathologic grading of salivary gland neoplasms: I. Mucoepidermoid carcinomas". Annals of Otology, Rhinology, and Laryngology. 99 (10): 835–838. doi:10.1177/000348949009901015. PMID 2221735.
- ^ Skalova A, Vanecek T, Simpson RH, et al. (April 2019). "Molecular advances in salivary gland pathology and their practical application". Diagnostic Histopathology. 25 (4): 143–152. doi:10.1016/j.mpdhp.2019.01.009.
- ^ Linxweiler M, Kuo F, Katabi N, et al. (June 2020). "The immune microenvironment and neoantigen landscape of aggressive salivary gland carcinomas differ by subtype". Clinical Cancer Research. 26 (12): 2859–2870. doi:10.1158/1078-0432.CCR-19-3758. PMC 7301016. PMID 32209599.
- ^ Patel NR, Sanghvi S, Khan MN, Husain Q, Baredes S, Eloy JA (January 2014). "Demographic trends and disease-specific survival in salivary acinic cell carcinoma: an analysis of 1129 cases". Laryngoscope. 124 (1): 172–178. doi:10.1002/lary.24220. PMID 23729236.
- ^ "Acinic Cell Carcinoma: Symptoms, Causes & Treatment". Healthgrades. Retrieved 2025-03-06.
- ^ Thompson LD, Aslam MN, Stall JN, Udager AM, Chiosea S, McHugh JB (June 2016). "Clinicopathologic and Immunophenotypic Characterization of 25 Cases of Acinic Cell Carcinoma with High-Grade Transformation". Head and Neck Pathology. 10 (2): 152–160. doi:10.1007/s12105-015-0645-x. PMC 4838973. PMID 26245749.
- ^ Gomez DR, Katabi N, Zhung J, et al. (May 2009). "Clinical and pathologic prognostic features in acinic cell carcinoma of the parotid gland". Cancer. 115 (10): 2128–2137. doi:10.1002/cncr.24259. PMID 19309748.
- ^ Ujiie H, Tomida M, Akiyama N, Nakajima Y, Okada D (December 2018). "Acinic cell carcinoma of the lung: A case report and review of the literature". Thoracic Cancer. 9 (12): 1788–1792. doi:10.1111/1759-7714.12885. PMC 6236981. PMID 30338656.
- ^ Yang CS, Cao HH, Liu J, Zeng MS, Qian CN (May 2015). "Pulmonary acinic cell carcinoma: a clinicopathological analysis of 15 cases and literature review". International Journal of Clinical and Experimental Pathology. 8 (5): 4815–4824. PMC 4503065. PMID 26191173.
- ^ Nakajima J, Kotsuka Y, Takamoto S, Tanaka M, Kawada K, Furuse A (October 2000). "Pulmonary acinic cell carcinoma: long-term survival after surgical treatment". Annals of Thoracic Surgery. 70 (4): 1399–1401. doi:10.1016/s0003-4975(00)01618-7. PMID 11081910.
- ^ Fechner RE, Bentinck BR, Askew JB Jr (February 1972). "Acinic cell tumor of the lung. A histologic and ultrastructural study". Cancer. 29 (2): 501–508. doi:10.1002/1097-0142(197202)29:2<501::aid-cncr2820290241>3.0.co;2-n. PMID 4334796.
- ^ Vander Poorten V, Triantafyllou A, Thompson LD, et al. (November 2016). "Salivary acinic cell carcinoma: reappraisal and update". European Archives of Oto-Rhino-Laryngology. 273 (11): 3511–3531. doi:10.1007/s00405-015-3855-7. PMID 26833208.
- ^ Thompson LD, Aslam MN, Stall JN, Udager AM, Chiosea S, McHugh JB (June 2016). "Clinicopathologic and Immunophenotypic Characterization of 25 Cases of Acinic Cell Carcinoma with High-Grade Transformation". Head and Neck Pathology. 10 (2): 152–160. doi:10.1007/s12105-015-0645-x. PMC 4838973. PMID 26245749.
- ^ Ferrarotto R, Bell D, El-Naggar AK (February 2021). "Modern clinical management of salivary gland malignancies". Clinical Cancer Research. 27 (3): 1341–1349. doi:10.1158/1078-0432.CCR-20-1836. PMID 33273021.
- ^ Jensen AD, Nikoghosyan AV, Lossner K, et al. (November 2011). "Raster-scanned carbon ion therapy for malignant salivary gland tumors: acute toxicity and initial treatment response". Radiation Oncology. 6: 149. doi:10.1186/1748-717X-6-149. PMC 3228714. PMID 22070030.
- ^ Schoenfeld JD, Sher DJ, Norris CM, et al. (January 2012). "Salivary gland tumors treated with adjuvant intensity-modulated radiotherapy with or without concurrent chemotherapy". International Journal of Radiation Oncology, Biology, Physics. 82 (1): 308–314. doi:10.1016/j.ijrobp.2010.09.002. PMID 21075557.
- ^ Haller F, Bieg M, Will R, et al. (January 2019). "Enhancer hijacking activates oncogenic transcription factor NR4A3 in acinic cell carcinomas of the salivary glands". Nature Communications. 10 (1): 368. doi:10.1038/s41467-018-08069-x. PMC 6341117. PMID 30664632.
- ^ Cohen RB, Delord JP, Doi T, et al. (November 2018). "Pembrolizumab for the treatment of advanced salivary gland carcinoma: Findings of the phase 1b KEYNOTE-028 study". American Journal of Clinical Oncology. 41 (11): 1083–1088. doi:10.1097/COC.0000000000000429. PMC 6211783. PMID 29227350.
- ^ Vander Poorten V, Triantafyllou A, Thompson LD, et al. (November 2016). "Salivary acinic cell carcinoma: reappraisal and update". European Archives of Oto-Rhino-Laryngology. 273 (11): 3511–3531. doi:10.1007/s00405-015-3855-7. PMID 26833208.
- ^ Gatta G, Capocaccia R, Botta L, et al. (August 2017). "Burden and centralised treatment in Europe of rare tumours: results of RARECAREnet-a population-based study". Lancet Oncology. 18 (8): 1022–1039. doi:10.1016/S1470-2045(17)30445-X. hdl:11392/2379746. PMID 28687376.
- ^ Schneider AB, Lubin J, Ron E, et al. (June 1998). "Salivary gland tumors after childhood radiation treatment for benign conditions of the head and neck: dose-response relationships". Radiation Research. 149 (6): 625–630. doi:10.2307/3579899. PMID 9611103.
- ^ Venturi Sebastiano (2022). "Prevention of nuclear damage caused by iodine and cesium radionuclides to the thyroid, pancreas and other organs". Juvenis Scientia. 8 (2): 5–14. doi:10.32415/jscientia_2022_8_2_5-14. S2CID 250392484.
- ^ Carreón T, Hein MJ, Hanley KW, Viet SM, Ruder AM (March 2014). "Bladder cancer incidence among workers exposed to o-toluidine, aniline and nitrobenzene at a rubber chemical manufacturing plant". Occupational and Environmental Medicine. 71 (3): 175–182. doi:10.1136/oemed-2013-101873. PMC 4144652. PMID 24368697.
- ^ Nagao T, Ishida Y, Sugano I, et al. (August 1996). "Epstein-Barr virus-associated undifferentiated carcinoma with lymphoid stroma of the salivary gland in Japanese patients. Comparison with benign lymphoepithelial lesion". Cancer. 78 (4): 695–703. doi:10.1002/(SICI)1097-0142(19960815)78:4<695::AID-CNCR1>3.0.CO;2-E. PMID 8756358.
- ^ Saunders LR, Zhang H, Berghuis F, et al. (September 2021). "Hallmarks of cancer susceptibility in salivary gland tumors". Science Translational Medicine. 13 (610): eabj4119. doi:10.1126/scitranslmed.abj4119. PMID 34596555.
- ^ Haller F, Bieg M, Will R, et al. (January 2019). "Enhancer hijacking activates oncogenic transcription factor NR4A3 in acinic cell carcinomas of the salivary glands". Nature Communications. 10 (1): 368. doi:10.1038/s41467-018-08069-x. PMC 6341117. PMID 30664632.
- ^ Fujishima H, Nakano T, Ohtomo K, et al. (August 2021). "Radiation-induced salivary gland tumors: a systematic literature review". Anticancer Research. 41 (8): 3719–3727. doi:10.21873/anticanres.15161. PMID 34283955.
- ^ La Perle KM, Kim DC, Hall NC, et al. (August 2013). "Modulation of sodium/iodide symporter expression in the salivary gland". Thyroid. 23 (8): 1029–1036. doi:10.1089/thy.2012.0571. PMC 3752513. PMID 23421588.
- ^ a b Lee SC (22 December 2022). "Salivary Gland Neoplasms". Medscape. Updated: Jan 13, 2021
Diagrams by Mikael Häggström, MD - ^ Travis WD, Brambilla E, Muller-Hermelink HK, Harris CC, eds. (2004). Pathology and Genetics of Tumours of the Lung, Pleura, Thymus and Heart (PDF). World Health Organization Classification of Tumours. Lyon: IARC Press. ISBN 92-832-2418-3. Archived from the original (PDF) on 2009-08-23. Retrieved 27 March 2010.
- ^ Fechner RE, Bentinck BR, Askew JB Jr (February 1972). "Acinic cell tumor of the lung. A histologic and ultrastructural study". Cancer. 29 (2): 501–508. doi:10.1002/1097-0142(197202)29:2<501::aid-cncr2820290241>3.0.co;2-n. PMID 4334796.
- ^ Ujiie H, Tomida M, Akiyama N, Nakajima Y, Okada D (December 2018). "Acinic cell carcinoma of the lung: A case report and review of the literature". Thoracic Cancer. 9 (12): 1788–1792. doi:10.1111/1759-7714.12885. PMC 6236981. PMID 30338656.
- ^ Bellizzi AM, Mills SE (March 2008). "Acinar cell carcinoma of the pancreas: a review". Archives of Pathology & Laboratory Medicine. 132 (3): 503–508. doi:10.5858/2008-132-503-ACCOTP. PMID 18318594.
- ^ Nakajima J, Kotsuka Y, Takamoto S, Tanaka M, Kawada K, Furuse A (October 2000). "Pulmonary acinic cell carcinoma: long-term survival after surgical treatment". Annals of Thoracic Surgery. 70 (4): 1399–1401. doi:10.1016/s0003-4975(00)01618-7. PMID 11081910.
- ^ Shah AA, Mehrad M, Kelting SM, Cushing-Haugen KL, Schwartz SM, Schwartz MR (March 2020). "Uncommon primary lung malignancies: A review and update". Surgical Pathology Clinics. 13 (1): 43–84. doi:10.1016/j.path.2019.11.003. PMID 32008667.
