Basilar invagination
| Basilar invagination | |
|---|---|
| Specialty | Neurology |
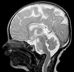
Basilar invagination is invagination (infolding) of the base of the skull that occurs when the top of the C2 vertebra migrates upward. It can cause narrowing of the foramen magnum (the opening in the skull where the spinal cord passes through to the brain). It also may press on the lower brainstem.[1]
This is similar to Chiari malformation. That, however, is usually present at birth.
Signs and symptoms
Causes
Diagnosis

A doctor will base his or her diagnosis on the symptoms the patient has and the results of tests, including:
- An X-ray
- Magnetic resonance imaging (MRI), which usually provides the most information
- Computed tomography (CT) scan [2]
Treatment
See also
References
- ^ "Basilar invagination and atlanto-axial subluxation". www.tchain.com. Archived from the original on 2002-12-22.
- ^ Riew, K. Daniel; Hilibrand, Alan S.; Palumbo, Mark A.; Sethi, Navinder; Bohlman, Henry H. (2001). "Diagnosing Basilar Invagination in the Rheumatoid Patient". The Journal of Bone and Joint Surgery-American Volume. 83 (2). Ovid Technologies (Wolters Kluwer Health): 194–200. doi:10.2106/00004623-200102000-00006. ISSN 0021-9355. PMID 11216680.