Buschke–Ollendorff syndrome

Buschke–Ollendorff sign
Other namesDermatofibrosis lenticularis disseminata[1]
Buschke–Ollendorff syndrome has an autosomal dominant pattern of inheritance.
SymptomsPapules in skin[1]
CausesMutations in the LEMD3 gene.[2]
Diagnostic methodX-ray, ultrasound[3]
TreatmentSurgery for hearing loss(or complications)[4]

Buschke–Ollendorff syndrome (BOS) is a rare genetic skin disorder associated with LEMD3 that typically presents with widespread painless papules.[1][5]

It is inherited in an autosomal dominant manner.[6][7] Conditions that may appear similar include tuberous sclerosis, pseudoxanthoma elasticum, neurofibroma, and lipoma, among others.[1]

Its frequency is almost 1 case per every 20,000 people, and it is equally found in both males and females.[4] It is named for Abraham Buschke and Helene Ollendorff Curth, who described the condition in one female in 1928.[1][8]

Signs and symptoms

Osteopoikilosis

The signs and symptoms of this condition are consistent with the following (possible complications include aortic stenosis and hearing loss[2][4]):

Pathogenesis

Buschke–Ollendorff syndrome is caused by one important factor: mutations in the LEMD3 gene.[9]

Among the important aspects of Buschke–Ollendorff syndrome condition, genetically speaking are:[9][10][11]

Bone cells

Diagnosis

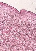
Microscope with stained slide (histological specimen)
Histopathology of BOS[12]

The diagnosis of this condition can be ascertained via several techniques one such method is genetic testing, as well as:[2][3]

Differential diagnosis

The differential diagnosis for an individual believed to have Buschke–Ollendorff syndrome is the following:[3]

Treatment

In terms of the treatment of Buschke–Ollendorff syndrome, should the complication of aortic stenosis occur then surgery may be required.[4]

Treatment for hearing loss may also require surgical intervention.[4]

See also

References

  1. ^ a b c d e Lacour, Marc (4 December 2019). "95. Buschke–Ollendorff syndrome, Marfan's syndrome and osteogenesis imperfecta". In Hoeger, Peter H.; Kinsler, Veronica; Yan, Albert C.; Bodemer, Christine; Larralde, Margarita; Luk, David; Mendiratta, Vibhu; Purvis, Diana (eds.). Harper's Textbook of Pediatric Dermatology. John Wiley & Sons. p. 1139. ISBN 978-1-119-14280-5.
  2. ^ a b c "Buschke Ollendorff syndrome | Genetic and Rare Diseases Information Center (GARD) – an NCATS Program". rarediseases.info.nih.gov. Archived from the original on 31 July 2018. Retrieved 29 December 2017.
  3. ^ a b c RESERVED, INSERM US14 -- ALL RIGHTS. "Orphanet: Buschke Ollendorff syndrome". www.orpha.net. Retrieved 29 December 2017.{{cite web}}: CS1 maint: numeric names: authors list (link)
  4. ^ a b c d e Lukasz Matusiak (2 July 2008), Dermatofibrosis Lenticularis (Buschke–Ollendorf Syndrome), eMedicine, retrieved 2009-09-05
  5. ^ Online Mendelian Inheritance in Man (OMIM): 166700
  6. ^ James, William D.; Elston, Dirk; Treat, James R.; Rosenbach, Misha A.; Neuhaus, Isaac (2020). "28. Dermal and subcutaneous tumors". Andrews' Diseases of the Skin: Clinical Dermatology (13th ed.). Edinburgh: Elsevier. pp. 614–615. ISBN 978-0-323-54753-6.
  7. ^ Guzman, Anthony K.; James, William D. (September 2016). "Helen Ollendorff-Curth: A dermatologist's lasting legacy". International Journal of Women's Dermatology. 2 (3): 108–112. doi:10.1016/j.ijwd.2016.06.002. ISSN 2352-6475. PMC 5418872. PMID 28492020.
  8. ^ A. Buschke, H. Ollendorff-Curth. Ein Fall von Dermatofibrosis lenticularis disseminata und Osteopathia condensans disseminata. Dermatologische Wochenschrift, Hamburg, 1928, 86: 257–262.
  9. ^ a b Reference, Genetics Home. "Buschke-Ollendorff syndrome". Genetics Home Reference. Retrieved 2018-05-13.
  10. ^ Worman, Howard J.; Fong, Loren G.; Muchir, Antoine; Young, Stephen G. (July 2009). "Laminopathies and the long strange trip from basic cell biology to therapy". The Journal of Clinical Investigation. 119 (7): 1825–1836. doi:10.1172/JCI37679. ISSN 1558-8238. PMC 2701866. PMID 19587457.
  11. ^ Reference, Genetics Home. "LEMD3 gene". Genetics Home Reference. Retrieved 2018-05-13.
  12. ^ Hosen, Mohammad J.; Lamoen, Anouck; De Paepe, Anne; Vanakker, Olivier M. (2012). "Histopathology of Pseudoxanthoma Elasticum and Related Disorders: Histological Hallmarks and Diagnostic Clues". Scientifica. 2012: 1–15. doi:10.6064/2012/598262. ISSN 2090-908X. PMC 3820553. PMID 24278718.
    -Creative Commons Attribution 3.0 Unported license

Further reading