Cytokeratin 5/6 antibodies

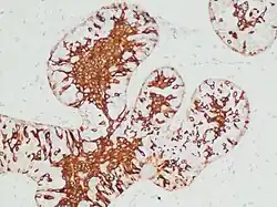
Immunohistochemistry with cytokeratin 5/6 antibodies in usual ductal hyperplasia, showing a mosaic pattern, predominantly in the central zone.

Cytokeratin 5/6 antibodies are antibodies that target both cytokeratin 5 and cytokeratin 6.[1] These are used in immunohistochemistry, often called CK 5/6 staining,[2] including the following applications:

Until recently the diagnostic method predominantly depended on identifying antibodies' responses that are positive for adenocarcinoma and negative for mesothelioma.[3]

Cytokeratin 5/6 (CK5/6) is a biomarker that has emerged as a valuable tool in distinguishing epithelioid pleural mesothelioma from metastatic adenocarcinoma. In a study comparing its effectiveness with other markers, CK5/6 showed high sensitivity, staining positively in 92% of epithelioid pleural mesothelioma cases. In contrast, only 14% of metastatic adenocarcinomas were positive for CK5/6. Cytokeratin 5/6 also stains reactive mesothelium, which limits its specificity. Overall, CK5/6, along with other markers like calretinin and thrombomodulin, demonstrates high sensitivity for epithelioid mesothelioma, making it a valuable tool in diagnostic pathology.[4]

References

  1. ^ a b c d Robert Terlević, Semir Vranić. "Cytokeratin 5/6". Topic Completed: 3 June 2019. Revised: 8 December 2019
  2. ^ a b Wang, Yu; Zhu, Jin-fu; Liu, Ying-ying; Han, Gui-ping (2013). "An analysis of Cyclin D1, Cytokeratin 5/6 and Cytokeratin 8/18 expression in breast papillomas and papillary carcinomas". Diagnostic Pathology. 8 (1): 8. doi:10.1186/1746-1596-8-8. ISSN 1746-1596. PMC 3571902. PMID 23327593.
  3. ^ Cury, P M; Butcher, D N; Fisher, C; Corrin, B; Nicholson, A G (2000-02-01). "Value of the Mesothelium-Associated Antibodies Thrombomodulin, Cytokeratin 5/6, Calretinin, and CD44H in Distinguishing Epithelioid Pleural Mesothelioma from Adenocarcinoma Metastatic to the Pleura". Modern Pathology. 13 (2): 107–112. doi:10.1038/modpathol.3880018. ISSN 0893-3952. PMID 10697265.
  4. ^ Clover, J.; Oates, J.; Edwards, C. (2003-11-14). "Anti-cytokeratin 5/6: a positive marker for epithelioid mesothelioma". Histopathology. 31 (2): 140–143. doi:10.1046/j.1365-2559.1997.2150833.x. ISSN 0309-0167. PMID 9279564.