Chordoma
| Chordoma | |
|---|---|
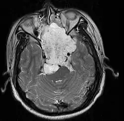
| MRI of extensive clival chordoma in 17-year-old male patient, axial view. Tumor in the nasopharynx extending from nasal cavity to brainstem posteriorly is clearly visible. | |
| Specialty | Oncology |
Chordoma is a rare slow-growing neoplasm (cancer) that arises from cellular remnants of the notochord in the bones of the skull base and spine. The evidence for the notochordal origin of chordoma is the location of the tumors (along the neuraxis), the similar immunohistochemical staining patterns, expression of brachyury, and the demonstration that notochordal cells are preferentially left behind in the clivus and sacrococcygeal regions when the remainder of the notochord regresses during fetal life.
In layman's terms, chordoma is a type of bone cancer, and is classified as a sarcoma.[1] Chordomas are sometimes mistakenly referred to as a brain, brainstem or spinal cord tumors due to their location near those critical structures, but they are not derived from nervous tissue.
Presentation
.jpg)
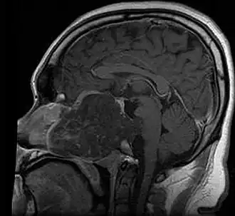
Chordomas can arise from bone in the skull base and anywhere along the spine. The two most common locations are cranially at the clivus and in the sacrum at the bottom of the spine.[2] Very rarely, chordomas present outside of the skull base or spine; these are called extra axial chordomas.[3]
Genetics
A small number of families have been reported in which multiple relatives have been affected by chordoma. In four of these families, duplication of the brachyury gene was found to be responsible for causing chordoma.[4]
A possible association with tuberous sclerosis complex (TSC1 or TSC2) has been suggested.[5]
Mechanism
- mTOR signaling is hyperactive in sporadic sacral chordomas: in one study 10 out of 10 sacral chordomas exhibited phosphorylation of Ribosomal protein s6 and EIF4EBP1 by immunohistochemistry[6]
- Partial or complete PTEN (gene) deficiency is observed in nearly all sacral chordomas[6]
- In a study of 49 chordomas Akt, TSC2, and EIF4EBP1 were phosphorylated in 92%, 96% and 98% of cases, respectively.[7]
- In a tissue microarray containing 21 chordomas Platelet-derived growth factor receptor-beta (PDGFR-b), epidermal growth factor receptor (EGFR), KIT (CD117) and HER2 were detected in 100%, 67%, 33% and 0% of cases, respectively.[8]
- The CDKN2A (p16) and CDKN2B (p15) loci on chromosome 9p21 are frequently deleted in chordomas[9] Another study found CDKN2A immunoreactivity in just 4% of cases.[7]
- 62% of chordomas express the High Molecular Weight Melanoma Associated Antigen, also known as Chondroitin sulfate proteoglycan 4 (CSPG4) which has been the target of immune therapy.[10]
- In 2009, scientists discovered that an inherited gene duplication is responsible for the familial form of this disorder.[11] Familial chordoma are rare, with an estimated rate of 0.4% in all Chordomas.[12]
Diagnosis
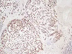
In 2015 the first consensus guidelines for the diagnosis and treatment of chordoma were published in The Lancet Oncology.[13] These tumors express brachyury and cytokeratin, which can be detected by immunohistochemistry.
Classification


There are three histological variants of chordoma: conventional,[14] chondroid and dedifferentiated.
- The histological appearance of classical chordoma is of a lobulated tumor composed of groups of cells separated by fibrous septa. The cells have small round nuclei and abundant vacuolated cytoplasm, sometimes described as "physaliferous" because of their cytoplasmic vacuoles, and their resemblance to the physalis plant.
- Chondroid chordomas histologically show features of both chordoma and chondrosarcoma.
Treatment
Consensus treatment guidelines have been developed to improve care quality and consistency. In 2015, an international panel published the first clinical practice guidelines for chordoma.[15] In 2017, best practices were published for the treatment of recurrent chordoma.[16]
In most cases, complete surgical resection followed by radiation therapy offers the best chance of long-term control.[17] Incomplete resection of the primary tumor makes controlling the disease more difficult and increases the odds of recurrence. The decision whether complete or incomplete surgery should be performed primarily depends on the anatomical location of the tumor and its proximity to vital parts of the central nervous system.[18]
Chordomas are relatively radioresistant, requiring high doses of radiation to be controlled. The proximity of chordomas to vital neurological structures such as the brain stem and nerves limits the dose of radiation that can safely be delivered. Therefore, highly focused radiation such as proton therapy and carbon ion therapy are more effective than conventional x-ray radiation.[19]
There are no drugs currently approved to treat chordoma; however, several have shown modest benefit in clinical trials, such as the following:
- Pemetrexed: 14% objective response rate with median progression free survival of 10.5 months [20]
- Pembrolizumab: 12% objective response rate with median progression free survival of 6.1 months [21]
- Afatinib: 10% objective response rate with median progression free survival of 8.6 months [22]
- Apatinib: 3% objective response rate with median progression free survival of 18 months [23]
- Imatinib: 2% objective response rate with median progression free survival of 9.2 months [24]
Prognosis
In one study, the 10-year tumor free survival rate for sacral chordoma was 46%.[25] Prognosis depends on many different factors. With appropriate treatment, many chordoma patients will live for a decade or more, and some can be cured.[26]
Epidemiology
In the United States, the annual incidence of chordoma is approximately 1 in one million (300 new patients each year).[27]
Sacral chordomas make up 2 to 4% of all primary bone tumours and 44% of all primary sacral tumours, thus making it the most common malignant sacral tumor. About 50 to 60% of chordomas are located in the sacrococcygeal region. Males aged between 40 and 50 years are twice as likely as women to get sacral chordoma.[28]
There are currently no known environmental risk factors for chordoma. As noted above germline duplication of brachyury has been identified as a major susceptibility mechanism in several chordoma families.[29]
While most people with chordoma have no other family members with the disease, rare occurrences of multiple cases within families have been documented. This suggests that some people may be genetically predisposed to develop chordoma. Because genetic or hereditary risk factors for chordoma may exist, scientists at the National Cancer Institute are conducting a Familial Chordoma Study to search for genes involved in the development of this tumor.[30]
Support and Resources
Several nonprofit organizations provide support and information for individuals affected by chordoma. The Chordoma Foundation offers:
- Free Patient Navigation Service to help patients understand their diagnosis, explore treatment options, and access expert care.[31]
- Peer Connect, a one-on-one peer support program that matches patients and caregivers with trained volunteers.[32]
- Online community forum where people affected by chordoma can share experiences and ask questions.[33]
- Educational materials and webinars on diagnosis, treatment, side effect management, and long-term recovery.[34]
Notable cases
NFL player Craig Heyward was treated for a chordoma in 1998, which ended his career. While initially thought to be successfully removed, the tumor returned in 2005, and caused Heyward's death in May 2006.
Pro skateboarder Ray Underhill, a member of the Powell-Peralta Bones Brigade, battled chordoma for two years before succumbing to his disease in August 2008.[35]
Cary Tennis, the popular advice columnist for Salon, announced in his column of November 19, 2009, that he had been diagnosed with a chordoma.
Former Spanish footballer José Enrique was diagnosed with chordoma in May 2018 and underwent surgery to remove the tumour in June of that year. As of 2022, he is doing well.[36]
Gary Sinise's son, McCanna "Mac" Anthony Sinise, who was a musician, died on January 5, 2024 at the age of 33 from chordoma. He had been diagnosed with chordoma in 2018 and eventually became paralyzed from the waist down.[37] Shortly after his passing, his family established the Moving Ahead for Cures (MAC) Fund in his honor with the goal of accelerating the development of new treatments for chordoma.[38]
Prominent British scientist, Paul Workman, lost his mother, Ena, to chordoma in 1989 at the age of 68.[39]
References
- ^ National Cancer Institute (February 27, 2019). "Chordoma".
- ^ "Primary Malignant Bone Tumors: Tumors of Bones and Joints: Merck Manual Professional". Retrieved 2009-01-04.
- ^ Evans S, Khan Z, Jeys L, Grimer R (May 2016). "Extra-axial chordomas". Annals of the Royal College of Surgeons of England. 98 (5): 324–328. doi:10.1308/rcsann.2016.0138. ISSN 1478-7083. PMC 5227051. PMID 27087325.
- ^ Walcott BP, Nahed BV, Mohyeldin A, Coumans JV, Kahle KT, Ferreira MJ (2012). "Chordoma: current concepts, management, and future directions". Lancet Oncol. 13 (2): e69–76. doi:10.1016/S1470-2045(11)70337-0. PMID 22300861.
- ^ Lee-Jones L, Aligianis I, Davies PA, et al. (September 2004). "Sacrococcygeal chordomas in patients with tuberous sclerosis complex show somatic loss of TSC1 or TSC2" (PDF). Genes Chromosomes Cancer. 41 (1): 80–5. doi:10.1002/gcc.20052. PMID 15236319. S2CID 13136963.
- ^ a b Han S, Polizzano C, Nielsen GP, Hornicek FJ, Rosenberg AE, Ramesh V (March 2009). "Aberrant Hyperactivation of Akt and Mammalian Target of Rapamycin Complex 1 Signaling in Sporadic Chordomas". Clinical Cancer Research. 15 (6): 1940–6. doi:10.1158/1078-0432.CCR-08-2364. PMC 2701205. PMID 19276265.
- ^ a b Presneau N, Shalaby A, Idowu B, Gikas P, Cannon SR, Gout I, Diss T, Tirabosco R, Flanagan AM (May 2009). "Potential therapeutic targets for chordoma: PI3K/AKT/TSC1/TSC2/mTOR pathway". British Journal of Cancer. 100 (9): 1406–14. doi:10.1038/sj.bjc.6605019. PMC 2694420. PMID 19401700.
- ^ Fasig JH, Dupont WD, LaFleur BJ, Olson SJ, Cates JM (February 2008). "Immunohistochemical analysis of receptor tyrosine kinase signal transduction activity in chordoma". Neuropathology and Applied Neurobiology. 34 (1): 95–104. doi:10.1111/j.1365-2990.2007.00873.x. PMID 17973908. S2CID 22858447.
- ^ Hallor KH, Staaf J, Jönsson G, Heidenblad M, Vult von Steyern F, Bauer HC, Ijszenga M, Hogendoorn PC, Mandahl N, Szuhai K, Mertens F (January 2008). "Frequent deletion of the CDKN2A locus in chordoma: analysis of chromosomal imbalances using array comparative genomic hybridisation". British Journal of Cancer. 98 (2): 434–42. doi:10.1038/sj.bjc.6604130. PMC 2361468. PMID 18071362.
- ^ Schwab JH, Boland PJ, Agaram NP, Socci ND, Guo T, O'Toole GC, Wang X, Ostroumov E, Hunter CJ, Block JA, Doty S, Ferrone S, Healey JH, Antonescu CR (March 2009). "Chordoma and chondrosarcoma gene profile: implications for immunotherapy". Cancer Immunology, Immunotherapy. 58 (3): 339–49. doi:10.1007/s00262-008-0557-7. PMC 3426285. PMID 18641983.
- ^ "Gene Duplication Identified in an Uncommon Form of Bone Cancer". 2009. Archived from the original on 2009-10-09. Retrieved 2009-10-09.
- ^ Wang K, Zhen W, Tian K, Hao S, Zhang L, Zhang J (November 2015). "Familial Chordoma: a case report and review of the literature". Oncology Letters. Oncology Letters 10(5). 10 (5): 2937–2940. doi:10.3892/ol.2015.3687. PMC 4665336. PMID 26722267.
- ^ "First clinical guidelines for chordoma treatment published in The Lancet Oncology". 2015-02-19.
- ^ Chugh R, Tawbi H, Lucas DR, Biermann JS, Schuetze SM, Baker LH (November 2007). "Chordoma: the nonsarcoma primary bone tumor". The Oncologist. 12 (11): 1344–50. doi:10.1634/theoncologist.12-11-1344. hdl:2027.42/139965. PMID 18055855. S2CID 34916915.
- ^ Stacchiotti S (2015). "Building a global consensus approach to chordoma: a position paper from the medical and patient community". Lancet Oncology. 16 (2): e71–83. doi:10.1016/S1470-2045(14)71190-8.
- ^ Stacchiotti S, Gronchi A, Fossati P, Akiyama T, Alapetite C, Baumann M, Blay JY, Bolle S, Boriani S, Bruzzi P, Capanna R, Caraceni A, Casadei R, Colia V, Debus J (2017-06-01). "Best practices for the management of local-regional recurrent chordoma: a position paper by the Chordoma Global Consensus Group". Annals of Oncology. 28 (6): 1230–1242. doi:10.1093/annonc/mdx054. ISSN 1569-8041. PMC 5452071. PMID 28184416.
- ^ Park L, Delaney TF, Liebsch NJ, Hornicek FJ, Goldberg S, Mankin H, Rosenberg AE, Rosenthal DI, Suit HD (2006). "Sacral chordomas: Impact of high-dose proton/photon-beam radiation therapy combined with or without surgery for primary versus recurrent tumor". Int J Radiat Oncol Biol Phys. 65 (5): 1514–21. doi:10.1016/j.ijrobp.2006.02.059. PMID 16757128.
- ^ "Surgery". Chordoma Foundation. Retrieved 2025-04-16.
- ^ Delaney TF, Liebsch NJ, Pedlow FX, Adams J, Dean S, Yeap BY, McManus P, Rosenberg AE, Nielsen GP, Harmon DC, Spiro IJ, Raskin KA, Suit HD, Yoon SS, Hornicek FJ (2009). "Sacral chordomas: Phase II Study of High-Dose Photon/Proton Radiotherapy in the Management of Spine Sarcomas". Int J Radiat Oncol Biol Phys. 74 (3): 732–9. doi:10.1016/j.ijrobp.2008.08.058. PMC 2734911. PMID 19095372.
- ^ Kesari S, Wagle N, Carrillo JA, Sharma A, Nguyen M, Truong J, Gill JM, Nersesian R, Nomura N, Rahbarlayegh E, Barkhoudarian G, Sivakumar W, Kelly DF, Krauss H, Bustos MA (2023-12-04). "Pilot Study of High-Dose Pemetrexed in Patients with Progressive Chordoma". Clinical Cancer Research. 30 (2): OF1 – OF11. doi:10.1158/1078-0432.CCR-23-2317. ISSN 1557-3265. PMID 38047868. S2CID 265606784.
- ^ Blay JY, Chevret S, Le Cesne A, Brahmi M, Penel N, Cousin S, Bertucci F, Bompas E, Ryckewaert T, Soibinet P, Boudou-Rouquette P, Saada Bouzid E, Soulie P, Valentin T, Lotz JP (August 2023). "Pembrolizumab in patients with rare and ultra-rare sarcomas (AcSé Pembrolizumab): analysis of a subgroup from a non-randomised, open-label, phase 2, basket trial". The Lancet. Oncology. 24 (8): 892–902. doi:10.1016/S1470-2045(23)00282-6. ISSN 1474-5488. PMID 37429302. S2CID 259576882.
- ^ Lipplaa A, Strauss SJ, Stacchiotti S, Kayani I, Efthymiadis K, Frezza AM, Meershoek-Klein Kranenbarg E, Sommer J, Flanagan A, Gelderblom H (June 2024). "A phase 2, single arm, European multi-center trial evaluating the efficacy of afatinib as first line or later line treatment in advanced chordoma". Journal of Clinical Oncology. 42 (16_suppl): 11517. doi:10.1200/JCO.2024.42.16_suppl.11517. ISSN 0732-183X.
- ^ Liu C, Jia Q, Wei H, Yang X, Liu T, Zhao J, Ling Y, Wang C, Yu H, Li Z, Jiao J, Wu Z, Yang C, Xiao J (September 2020). "Apatinib in patients with advanced chordoma: a single-arm, single-centre, phase 2 study". The Lancet. Oncology. 21 (9): 1244–1252. doi:10.1016/S1470-2045(20)30466-6. ISSN 1474-5488. PMID 32888455. S2CID 221503024.
- ^ Stacchiotti S, Longhi A, Ferraresi V, Grignani G, Comandone A, Stupp R, Bertuzzi A, Tamborini E, Pilotti S, Messina A, Spreafico C, Gronchi A, Amore P, Vinaccia V, Casali PG (2012-03-20). "Phase II study of imatinib in advanced chordoma". Journal of Clinical Oncology. 30 (9): 914–920. doi:10.1200/JCO.2011.35.3656. ISSN 1527-7755. PMID 22331945.
- ^ Fuchs B, Dickey ID, Yaszemski MJ, Inwards CY, Sim FH (2005). "Operative management of sacral chordoma". The Journal of Bone and Joint Surgery. American Volume. 87 (10): 2211–6. doi:10.2106/JBJS.D.02693. PMID 16203885.
- ^ "Frequently asked questions". Chordoma Foundation. Retrieved 2025-04-16.
- ^ "College student fights his own cancer - Yahoo! News". Archived from the original on 2008-02-26. Retrieved 2008-02-20.
- ^ Senne J, Nguyen V, Staner D, Stensby JD, Bhat AP (January 2021). "Demystifying Sacral Masses: A Pictorial Review". The Indian Journal of Radiology & Imaging. 31 (1): 185–192. doi:10.1055/s-0041-1729766. PMC 8299490. PMID 34316126.
- ^ Kelley MJ, Shi J, Ballew B, Hyland PL, Li WQ, Rotunno M, Alcorta DA, Liebsch NJ, Mitchell J, Bass S, Roberson D, Boland J, Cullen M, He J, Burdette L, Yeager M, Chanock SJ, Parry DM, Goldstein AM, Yang XR (2014). "Familial Chordoma Study of the T Gene". Hum Genet. 133 (10): 1289–97. doi:10.1007/s00439-014-1463-z. PMC 6938388. PMID 24990759.
- ^ "Familial Chordoma Study". Archived from the original on 2009-02-14. Retrieved 2009-02-03.
- ^ "Patient Navigation Service". Chordoma Foundation. Retrieved 2025-04-16.
- ^ "Peer Connect". Chordoma Foundation. Retrieved 2025-04-16.
- ^ "Chordoma Connections". Chordoma Foundation. Retrieved 2025-04-16.
- ^ "Chordoma Resources". Chordoma Foundation. Retrieved 2025-04-16.
- ^ Underhill R. "Remembering Nashville Skateboard Legend Ray Underhill". Nashville Scene. Retrieved 22 November 2024.
- ^ "José's Uncommon Story". Chordoma Foundation. Retrieved 2025-04-16.
- ^ "Gary Sinise's Son McCanna Dead at 33 After Rare Cancer Battle". ET Online.com. February 27, 2024. Archived from the original on February 27, 2024. Retrieved February 27, 2024.
- ^ "Moving Ahead for Cures (MAC) Fund: The Mac Sinise Fund to Accelerate…". Chordoma Foundation. Retrieved 2025-04-16.
- ^ McKie R (2025-02-15). "British professor makes 'thrilling' breakthrough for cancer that killed his mother". The Observer. ISSN 0029-7712. Retrieved 2025-04-16.
External links
- Images of chordoma – mostly radiological (CT and MRI scans), one autopsy image
- Research information on chordoma (WikiGenes)