Chromidina
| Chromidina | |
|---|---|
| |
| Chromidina sp. | |
| Scientific classification | |
| Domain: | |
| (unranked): | |
| (unranked): | |
| Phylum: | |
| Class: | |
| Order: | Astomatophorida
|
| Family: | Opalinopsidae
|
| Genus: | Chromidina Gonder, 1905[1]
|
| Species | |
|
Chromidina elegans (Foettinger, 1881) [2] | |
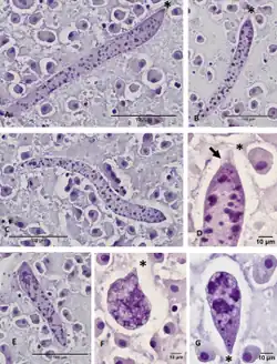
Chromidina is a genus of apostome ciliates of the family Opalinopsidae. Species of Chromidina are parasitic [3][5][6] in the renal and pancreatic appendages of cephalopods.
%252C_parasites_of_cephalopods_of_the_Mediterranean_Sea.png)
In 2016, a molecular study found that the closest relatives of Chromidina spp. were species of the apostome Pseudocollinia.[4]
References
- ^ Gonder, R. (1905). "Beiträge zur Kenntnis der Kernverhältnisse bei den in Cephalopoden schmarotzenden Infusorien". Archiv für Protistenkunde. 5: 240–262.
- ^ a b Foettinger, A. (1881). "Recherches sur quelques Infusoires nouveaux parasites des Céphalopodes". Archives de Biologie. 2: 345–378.
- ^ a b Hochberg, F.G. (1971). Some aspects of the biology of cephalopod kidney parasites (PhD). University of California Santa Barbara.
- ^ a b Souidenne, Dhikra; Florent, Isabelle; Dellinger, Marc; Justine, Jean Lou; Romdhane, Mohamed Salah; Furuya, Hidetaka; Grellier, Philippe (2016). "Diversity of apostome ciliates, Chromidina spp. (Oligohymenophorea, Opalinopsidae), parasites of cephalopods of the Mediterranean Sea". Parasite. 23: 33. doi:10.1051/parasite/2016033. PMC 4988119. PMID 27530149.
- ^ Chatton, E; Lwoff, A. (1935). "Les Ciliés Apostomes. Morphologie, cytologie, éthologie, évolution, systématique. Première partie. Aperçu historique et général. Étude monographique des genres et des espèces". Archives de Zoologie Expérimentale et Générale. 77: 1–453. OCLC 248385866.
- ^ Landers, S.C. (2010). "The fine structure of the tropho-tromont of the parasitic apostome Chromidina (Ciliophora, Apostomatida)" (PDF). Protistology. 6 (4): 271–9.
%252C_parasites_of_cephalopods_of_the_Mediterranean_Sea.png)