Chronic deciduitis

Chronic deciduitis
Other namesPlasma cell deciduitis
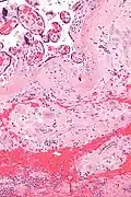
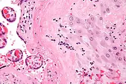
Micrograph of a chronic deciduitis, showing the characteristic plasma cells. H&E stain.

Chronic deciduitis is a type of long-lasting inflammation that arises in pregnancy and affects the endometrial stromal tissue (decidua).

It is associated with preterm labour.[1] The diagnosis rests primarily on the presence of plasma cells.[2]

See also

References

  1. ^ Edmondson, N.; Bocking, A.; Machin, G.; Rizek, R.; Watson, C.; Keating, S. (2009). "The prevalence of chronic deciduitis in cases of preterm labor without clinical chorioamnionitis". Pediatr Dev Pathol. 12 (1): 16–21. doi:10.2350/07-04-0270.1. PMID 18171100. S2CID 25693917.
  2. ^ Khong, TY.; Bendon, RW.; Qureshi, F.; Redline, RW.; Gould, S.; Stallmach, T.; Lipsett, J.; Staples, A. (Mar 2000). "Chronic deciduitis in the placental basal plate: definition and interobserver reliability". Hum Pathol. 31 (3): 292–5. doi:10.1016/s0046-8177(00)80241-5. PMID 10746670.