Enterococcus

Enterococcus
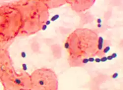
Enterococcus sp. infection in pulmonary tissue
Scientific classification Edit this classification
Domain: Bacteria
Kingdom: Bacillati
Phylum: Bacillota
Class: Bacilli
Order: Lactobacillales
Family: Enterococcaceae
Genus:
(ex Thiercelin & Jouhaud 1903)
Schleifer & Kilpper-Bälz 1984
Species[1]

Enterococcus is a large genus of lactic acid bacteria of the phylum Bacillota. Enterococci are Gram-positive cocci that often occur in pairs (diplococci) or short chains, and are difficult to distinguish from streptococci on physical characteristics alone.[2] Two species are common commensal organisms in the intestines of humans: E. faecalis (90–95%) and E. faecium (5–10%). Rare clusters of infections occur with other species, including E. durans,[3] E. casseliflavus, E. gallinarum, and E. raffinosus.[2]

Physiology and classification

Enterococci are facultative anaerobic organisms, i.e., they are capable of cellular respiration in both oxygen-rich and oxygen-poor environments.[4] Though they are not capable of forming spores, enterococci are tolerant of a wide range of environmental conditions: extreme temperature (10–45 °C), pH (4.6–9.9), and high sodium chloride concentrations.[5]

E. faecium and E. faecalis can be differentiated based on their carbohydrate metabolism: E. faecium consistently metabolizes lactose but not melezitose or inositol, whereas E. faecalis reliably metabolizes sorbitol and sucrose but lacks the ability to utilize L-arabinose, melibiose, or raffinose. Less is known of other species; E. durans share most of the important carbohydrate metabolism with E. faecium.[3]

Enterococci exhibit variable hemolysis on blood agar. Differences occur between species, and between strains of species. More virulent organisms are more likely to exhibit alpha (partial) or beta (complete) hemolysis than less virulent specimens of Enterococcus, which frequently exhibit gamma (absent) hemolysis.[6]

History

Members of the genus Enterococcus (from Greek έντερο, éntero 'intestine' and κοκκος, coccos 'granule') were classified as group D Streptococcus until 1984, when genomic DNA analysis indicated a separate genus classification would be appropriate.[7]

Evolution

This genus appears to have evolved 425 million years ago to 500 million years ago.[8]

Pathology

Important clinical infections caused by Enterococcus include urinary tract infections (see Enterococcus faecalis), bacteremia, bacterial endocarditis, diverticulitis, meningitis, and spontaneous bacterial peritonitis.[5][9][10] Sensitive strains of these bacteria can be treated with ampicillin, penicillin and vancomycin.[11] In catheterized patients receiving intensive care, Enterococcus spp., have been reported the dominant cause of urinary tract infections, particularly in patients treated with cephalosporin antibiotics.[12][13] Recent work has shown that multiple genetically distinct Enterococcus sequence types, including antibiotic resistant and high risk clones, can coexist in the same urine sample from a single ICU patient, with the more virulent lineage often present only as a minority subpopulation - undetectable by standard diagnostics.[3] Urinary tract infections can be treated specifically with nitrofurantoin, even in cases of vancomycin resistance.[14]

Example of a workup algorithm of possible bacterial infection in cases with no specifically requested targets (non-bacteria, mycobacteria etc.), with most common situations and agents seen in a New England community hospital setting. Enterococcus is included near bottom-center.

Meningitis

Enterococcal meningitis is a rare complication of neurosurgery. It often requires treatment with intravenous or intrathecal vancomycin, yet it is debatable as to whether its use has any impact on outcome: the removal of any neurological devices is a crucial part of the management of these infections.[15] New epidemiological evidence has shown that enterococci are major infectious agent in chronic bacterial prostatitis.[16] Enterococci are able to form biofilm in the prostate gland, making their eradication difficult. Cases of enterococcal meningitis, in the absence of trauma or surgery, should raise suspicion of an underlying intestinal pathology (e.g., strongyloidiasis).[17]

Bloodstream infections

Enterococcus species are frequent causes of hospital-acquired bloodstream infections (BSIs). They ranked as the second most common cause of ICU-acquired BSIs in Europe in 2019. Enterococcal BSIs have high mortality rates, typically around 20–30%.[18] Outcomes tend to be worse for E. faecium infections, which often exhibit higher antibiotic resistance (e.g. high rates of vancomycin resistance). The incidence of vancomycin-resistant Enterococcus infections has been rising globally. In a 2014–2021 cohort study of 584 patients with enterococcal BSI, the 30-day mortality was 27.5%. Mortality was significantly higher when the infection was caused by vancomycin-resistant E. faecium (36.6%) or vancomycin-susceptible E. faecium (31.8%) than when caused by E. faecalis (23.2%).[19] Enterococcal bacteremia can also lead to infective endocarditis.

Antibacterial resistance

From a medical standpoint, an important feature of this genus is the high level of intrinsic antibiotic resistance. Some enterococci are intrinsically resistant to β-lactam-based antibiotics (penicillins, cephalosporins, carbapenems), as well as many aminoglycosides.[9] In the last two decades, particularly virulent strains of Enterococcus that are resistant to vancomycin (vancomycin-resistant Enterococcus, or VRE) have emerged in nosocomial infections of hospitalized patients, especially in the US.[5] Other developed countries, such as the UK, have been spared this epidemic, and, in 2005, Singapore managed to halt an epidemic of VRE.[20] Although quinupristin/dalfopristin (Synercid) was previously indicated for treatment of VRE in the USA, the FDA approval for this indication has since been retracted.[21] The rationale for the retraction of Synercid's indication for VRE was based upon poor efficacy in E. faecalis, which is implicated in the vast majority of VRE cases.[22][23] Tigecycline has also been shown to have antienterococcal activity, as has rifampicin.[24]

Bacillus haynesii CD223 and Advenella mimigardefordensis SM421 can inhibit the growth of Enterococcus spp. [25]

Water quality

In bodies of water, the acceptable level of contamination is very low; for example in the state of Hawaii, and most of the United States, the limit for water off its beaches is a five-week geometric mean of 35 colony-forming units per 100 ml of water, above which the state may post warnings to stay out of the ocean.[26] In 2004, measurement of enterococci took the place of fecal coliforms as the new American federal standard for water quality at public saltwater beaches and alongside Escherichia coli at freshwater beaches.[27] It is believed to provide a higher correlation than fecal coliform with many of the human pathogens often found in city sewage.[28]

References

  1. ^ a b c d e f g h i j k l m n o p q r s t u v w x y z aa ab ac ad ae af ag ah ai aj ak al am an ao ap aq ar as at au av aw ax ay az ba bb bc bd be bf bg bh bi Parte AC. "Enterococcus". List of Prokaryotic names with Standing in Nomenclature (LPSN).
  2. ^ a b Gilmore MS, et al., eds. (2002). The Enterococci: Pathogenesis, Molecular Biology, and Antibiotic Resistance. Washington, D.C.: ASM Press. ISBN 978-1-55581-234-8.
  3. ^ a b c Karlsson PA, Zhang T, Järhult JD, Joffré E, Wang H (2025-06-12). Ponraj VP (ed.). "Heterogeneity and metabolic diversity among Enterococcus species during long-term colonization". Microbiology Spectrum. 13 (8) e03160-24. doi:10.1128/spectrum.03160-24. ISSN 2165-0497. PMC 12323598. PMID 40503823.
  4. ^ Fischetti VA, Novick RP, Ferretti JJ, Portnoy DA, Rood JI, eds. (2000). Gram-Positive Pathogens. ASM Press. ISBN 1-55581-166-3.
  5. ^ a b c Fisher K, Phillips C (June 2009). "The ecology, epidemiology and virulence of Enterococcus". Microbiology. 155 (Pt 6): 1749–1757. doi:10.1099/mic.0.026385-0. PMID 19383684.
  6. ^ Semedo T, Almeida Santos M, Martins P, Silva Lopes MF, Figueiredo Marques JJ, Tenreiro R, et al. (June 2003). "Comparative study using type strains and clinical and food isolates to examine hemolytic activity and occurrence of the cyl operon in enterococci". Journal of Clinical Microbiology. 41 (6): 2569–2576. doi:10.1128/jcm.41.6.2569-2576.2003. PMC 156526. PMID 12791882.
  7. ^ Schleifer KH, Kilpper-Balz R (1984). "Transfer of Streptococcus faecalis and Streptococcus faecium to the genus Enterococcus nom. rev. as Enterococcus faecalis comb. nov. and Enterococcus faecium comb. nov". Int. J. Syst. Bacteriol. 34: 31–34. doi:10.1099/00207713-34-1-31.
  8. ^ Lebreton F, Manson AL, Saavedra JT, Straub TJ, Earl AM, Gilmore MS (May 2017). "Tracing the Enterococci from Paleozoic Origins to the Hospital". Cell. 169 (5): 849–861.e13. doi:10.1016/j.cell.2017.04.027. PMC 5499534. PMID 28502769.
  9. ^ a b Ryan KJ, Ray CG, eds. (2004). Sherris Medical Microbiology (4th ed.). McGraw Hill. pp. 294–5. ISBN 0-8385-8529-9.
  10. ^ Fiore M, Maraolo AE, Gentile I, Borgia G, Leone S, Sansone P, et al. (October 2017). "Current concepts and future strategies in the antimicrobial therapy of emerging Gram-positive spontaneous bacterial peritonitis". World Journal of Hepatology. 9 (30): 1166–1175. doi:10.4254/wjh.v9.i30.1166. PMC 5666303. PMID 29109849.
  11. ^ Pelletier Jr LL (1996). "Microbiology of the Circulatory System". In Albrecht T, Baron S (eds.). Baron's Medical Microbiology (4th ed.). Univ of Texas Medical Branch. ISBN 0-9631172-1-1. PMID 21413321.
  12. ^ Karlsson PA, Pärssinen J, Danielsson EA, Fatsis-Kavalopoulos N, Frithiof R, Hultström M, et al. (2023-02-07). "Antibiotic use during coronavirus disease 2019 intensive care unit shape multidrug resistance bacteriuria: A Swedish longitudinal prospective study". Frontiers in Medicine. 10 1087446. doi:10.3389/fmed.2023.1087446. ISSN 2296-858X. PMC 9941185. PMID 36824610.
  13. ^ Karlsson PA, Bolin C, Spång L, Frithiof R, Hultström M, Lipcsey M, et al. (2025-03-04). "Bacteriuria and antibiotic use during the third wave of COVID-19 intensive care in Sweden". Infectious Diseases. 57 (3): 284–293. doi:10.1080/23744235.2024.2423884. ISSN 2374-4235. PMID 39509144.
  14. ^ Zhanel GG, Hoban DJ, Karlowsky JA (January 2001). "Nitrofurantoin is active against vancomycin-resistant enterococci". Antimicrobial Agents and Chemotherapy. 45 (1): 324–326. doi:10.1128/AAC.45.1.324-326.2001. PMC 90284. PMID 11120989.
  15. ^ Guardado R, Asensi V, Torres JM, Pérez F, Blanco A, Maradona JA, et al. (2006). "Post-surgical enterococcal meningitis: clinical and epidemiological study of 20 cases". Scandinavian Journal of Infectious Diseases. 38 (8): 584–588. doi:10.1080/00365540600606416. PMID 16857599. S2CID 24189202.
  16. ^ "Enterococcus sp rRNA [Presence] in Specimen by Probe". Logical Observation Identifiers Names and Codes (LOINC). Regenstrief Institute, Inc. 5001-3.
  17. ^ Cosimi L, Di Bella S, Luzzati R, Simeth CT, Pinamonti M, Cominotto F, et al. (2023-12-01). "Enterococcal meningitis associated with Strongyloides infection: a case report and literature review". Le Infezioni in Medicina. 31 (4): 583–590. doi:10.53854/liim-3104-18. PMC 10705849. PMID 38075422.
  18. ^ Scharloo F, Cogliati Dezza F, López-Hernández I, Martínez Pérez-Crespo PM, Goikoetxea Aguirre AJ, Pérez-Rodríguez MT, et al. (2024). "Clinical characteristics, predisposing factors and outcomes for Enterococcus faecalis versus Enterococcus faecium bloodstream infections: a prospective multicentre cohort study". European Journal of Clinical Microbiology & Infectious Diseases. 43 (10): 2011–2022. doi:10.1007/s10096-024-04917-5. ISSN 0934-9723. PMC 11405461. PMID 39112668.
  19. ^ Zerbato V, Pol R, Sanson G, Suru DA, Pin E, Tabolli V, et al. (2024-06-27). "Risk Factors for 30-Day Mortality in Nosocomial Enterococcal Bloodstream Infections". Antibiotics. 13 (7): 601. doi:10.3390/antibiotics13070601. ISSN 2079-6382. PMC 11273391. PMID 39061283.
  20. ^ Kurup A, Chlebicki MP, Ling ML, Koh TH, Tan KY, Lee LC, et al. (April 2008). "Control of a hospital-wide vancomycin-resistant Enterococci outbreak". American Journal of Infection Control. 36 (3): 206–211. doi:10.1016/j.ajic.2007.06.005. PMC 7115253. PMID 18371517.
  21. ^ Batts DH, Lavin BS, Eliopoulos GM (2001). "Quinupristin/dalfopristin and linezolid: spectrum of activity and potential roles in therapy--a status report". Current Clinical Topics in Infectious Diseases. 21: 227–251. PMID 11572153.
  22. ^ Collins LA, Malanoski GJ, Eliopoulos GM, Wennersten CB, Ferraro MJ, Moellering RC (March 1993). "In vitro activity of RP59500, an injectable streptogramin antibiotic, against vancomycin-resistant Gram-positive organisms". Antimicrobial Agents and Chemotherapy. 37 (3): 598–601. doi:10.1128/aac.37.3.598. PMC 187713. PMID 8460927.
  23. ^ Singh KV, Weinstock GM, Murray BE (June 2002). "An Enterococcus faecalis ABC homologue (Lsa) is required for the resistance of this species to clindamycin and quinupristin-dalfopristin". Antimicrobial Agents and Chemotherapy. 46 (6): 1845–1850. doi:10.1128/AAC.46.6.1845-1850.2002. PMC 127256. PMID 12019099.
  24. ^ "Enterococcus sp DNA [Presence] by NAA with probe detection in Positive blood culture". Logical Observation Identifiers Names and Codes (LOINC). Regenstrief Institute, Inc. 92784-8.
  25. ^ Rahman MM, Paul SI, Rahman A, Haque MS, Ador MA, Foysal MJ, et al. (December 2022). Rogovskyy AS, Weththasinghe P, Rodriguez-Estrada U (eds.). "Suppression of Streptococcosis and Modulation of the Gut Bacteriome in Nile Tilapia (Oreochromis niloticus) by the Marine Sediment Bacteria Bacillus haynesii and Advenella mimigardefordensis". Microbiology Spectrum. 10 (6) e02542-22: e0254222. doi:10.1128/spectrum.02542-22. PMC 9769507. PMID 36453920.
  26. ^ "Clean Water Branch" (PDF). Hawaii State Department of Health. Archived from the original (PDF) on 2011-11-11. Retrieved 2012-05-18.
  27. ^ "Water Quality Standards for Coastal and Great Lakes Recreation Waters; Final Rule". Federal Register. 69 (220): 67218–67243. 16 November 2004. Retrieved 26 November 2014.
  28. ^ Jin G, Jeng HW, Bradford H, Englande AJ (2004). "Comparison of E. coli, enterococci, and fecal coliform as indicators for brackish water quality assessment". Water Environment Research. 76 (3): 245–255. Bibcode:2004WaEnR..76..245J. doi:10.2175/106143004X141807. PMID 15338696. S2CID 35780753.