IgG4-related ophthalmic disease
| IgG4-related ophthalmic disease | |
|---|---|
![]() | |
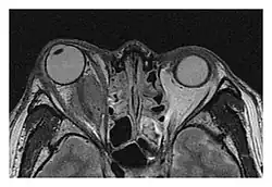
| Mass lesion around the right optic disc in a 44-year-old man with IgG4-related ophthalmic disease and a serum IgG4 of 599 mg/dL.[1] (T2-weighted MRI) | |
| Specialty | Ophthalmology |
IgG4-related ophthalmic disease (IgG4-ROD) is the recommended term to describe orbital (eye socket) manifestations of the systemic condition IgG4-related disease,[2] which is characterised by infiltration of lymphocytes and plasma cells and subsequent fibrosis in involved structures. It can involve one or more of the orbital structures.
Frequently involved structures include the lacrimal glands, extraocular muscles, infraorbital nerve, supraorbital nerve and eyelids.[3][4][5][6][7][8] It has also been speculated that ligneous conjunctivitis may be a manifestation of IgG4-related disease (IgG4-RD).[9]
As is the case with other manifestations of IgG4-related disease, a prompt response to steroid therapy is a characteristic feature of IgG4-ROD in most cases, unless significant fibrosis has already occurred.[2][3]
It basically can cause loss of vision and in other cases, cause skin irritation and loss of brain function
Symptoms

Symptoms, if any, can be mild even in the presence of significant swelling or masses.
Lacrimal gland involvement may cause swelling of the upper eyelid, or proptosis if there is severe swelling. Other orbital masses or inflammation can result in visual disturbance (blurred vision, double vision, visual field impairment), restricted eye movements, pain or discomfort, numbness in the distribution of the supraorbital and/or infraorbital nerves, or proptosis.[3]
IgG4-related ophthalmic disease has been estimated to account for approximately 25% of all cases of proptosis, eyelid swelling and other features of orbital swelling.[1][3]
Cause
Diagnosis
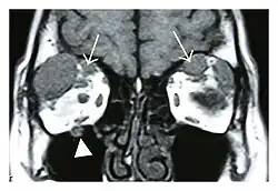
The extent of inflammation that can occur in IgG4-ROD is well demonstrated on magnetic resonance imaging (MRI).
Infraorbital nerve enlargement (IONE) is considered to be a particularly suspicious sign of IgG4-ROD, but seems to occur only when inflammation is in direct contact with the infraorbital canal.[10] IONE is defined as the infraorbital nerve diameter being greater than the optic nerve diameter in the coronal plane.
![]() |
![]() |
![]() |
Management
Nomenclature
Although IgG4-related ophthalmic disease is the recommended name for all orbital manifestations of IgG4-related disease, more precise terminology for the various anatomical variations of the condition can be used. This includes:[2][3]
- IgG4-related dacryoadenitis (lacrimal glands)
- IgG4-related dacryocystitis (lacrimal sac)
- IgG4-related orbital myositis (extraocular muscles)
- IgG4-related orbital nerve lesions
- IgG4-related optic neuropathy (optic nerve)
- IgG4-related orbital inflammation (orbital soft tissue)
- IgG4-related pan-orbital inflammation (all of the various types of orbital structures)
Names previously used in the diagnosis of cases now considered to be IgG4-ROD have included idiopathic orbital inflammatory disease and orbital pseudotumor.[2]
See also
References
- ^ a b c d e f Masayuki Takahira; Yoshiaki Ozawa; Mitsuhiro Kawano; Yoh Zen; Shoko Hamaoka; Kazunori Yamada; Kazuhisa Sugiyama (2012). "Clinical Aspects of IgG4-Related Orbital Inflammation in a Case Series of Ocular Adnexal Lymphoproliferative Disorders". International Journal of Rheumatology. 2012 (635473): 635473. doi:10.1155/2012/635473. PMC 3323851. PMID 22548072.
- ^ a b c d John H. Stone; Arezou Khosroshahi; Vikram Deshpande; John K. C. Chan; J. Godfrey Heathcote; Rob Aalberse; Atsushi Azumi; Donald B. Bloch; William R. Brugge; Mollie N. Carruthers; Wah Cheuk; Lynn Cornell; Carlos Fernandez-Del Castillo; Judith A. Ferry; David Forcione; Günter Klöppe; Daniel L. Hamilos; Terumi Kamisawa; Satomi Kasashima; Shigeyuki Kawa; Mitsuhiro Kawano; Yasufumi Masaki; Kenji Notohara; Kazuichi Okazaki; Ji Kon Ryu; Takako Saeki; Dushyant Sahani; Yasuharu Sato; Thomas Smyrk; James R. Stone; Masayuki Takahira; Hisanori Umehara; George Webster; Motohisa Yamamoto; Eunhee Yi; Tadashi Yoshino; Giuseppe Zamboni; Yoh Zen; Suresh Chari (October 2012). "Recommendations for the nomenclature of IgG4-related disease and its individual organ system manifestations". Arthritis & Rheumatism. 64 (10): 3061–3067. doi:10.1002/art.34593. PMC 5963880. PMID 22736240.
- ^ a b c d e Takahira, Masayuki; Azumi, Atsushi (21 November 2013). "Chapter 12: Ophthalmology". In Hisanori Umehara; Kazuichi Okazaki; John H. Stone; Shigeyuki Kawa; Mitsuhiro Kawano (eds.). IgG4-Related Disease. Springer Science & Business Media. pp. 77–84. doi:10.1007/978-4-431-54228-5. ISBN 978-4-431-54227-8.
- ^ José Antonio Plaza; James A. Garrity; Ahmet Dogan; Anuradha Ananthamurthy; Thomas E. Witzig; Diva R. Salomão (11 April 2011). "Orbital inflammation with IgG4-positive plasma cells: manifestation of IgG4 systemic disease". Archives of Ophthalmology. 129 (4): 421–428. doi:10.1001/archophthalmol.2011.16. PMID 21482868.
- ^ Thomas G. Hardy; Alan A. McNab; Geoffrey E. Rose (June 2014). "Enlargement of the infraorbital nerve: an important sign associated with orbital reactive lymphoid hyperplasia or immunoglobulin g4-related disease". Ophthalmology. 121 (6): 1297–1303. doi:10.1016/j.ophtha.2013.12.028. PMID 24613826.
- ^ Anuradha Jayaprakasam; Dominic O'Donovan; Cornelius Rene (May 2014). "Infraorbital nerve enlargement due to IgG4-related disease". Eye. 28 (5): 628–629. doi:10.1038/eye.2014.32. PMC 4017115. PMID 24577252.
- ^ Dai Inoue; Yoh Zen; Yasuharu Sato; Hitoshi Abo; Hiroshi Demachi; Akio Uchiyama; Toshifumi Gabata; Osamu Matsui (2012). "IgG4-Related Perineural Disease". International Journal of Rheumatology. 2012 (401890): 401890. doi:10.1155/2012/401890. PMC 3317227. PMID 22523496.
- ^ Tiina Leivo; Sari Koskenmies; Marita Uusitalo; Olli Tynninen (August 2015). "IgG4-related disease mimicking chalazion in the upper eyelid with skin manifestations on the trunk". International Ophthalmology. 35 (4): 595–597. doi:10.1007/s10792-015-0070-x. PMID 25834990. S2CID 6888012.
- ^ Chiang Wei-Yu; Liu Ting-Ting; Huang Wan-Ting; Kuo Ming-Tse (9 September 2016). "Co-existing ligneous conjunctivitis and IgG4-related disease". Indian Journal of Ophthalmology. 64 (7): 532–534. doi:10.4103/0301-4738.190154. PMC 5026081. PMID 27609168.
- ^ J. Ben Soussan; R. Deschamps; J. C. Sadik; J. Savatovsky; L. Deschamps; M. Puttermann; M. Zmuda; F. Heran; O. Galatoire; H. Picard; A. Lecler (19 July 2016). "Infraorbital nerve involvement on magnetic resonance imaging in European patients with IgG4-related ophthalmic disease: a specific sign". European Radiology. 27 (4): 1335–1343. doi:10.1007/s00330-016-4481-5. PMID 27436015. S2CID 645961.



