MELAS syndrome
| Mitochondrial myopathy, encephalomyopathy, lactic acidosis, and stroke-like episodes | |
|---|---|
![]() | |
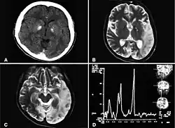
| Basal ganglia calcification, cerebellar atrophy, increased lactate; a CT image of a person diagnosed with MELAS | |
| Specialty | Neurology |
| Frequency | 1 in 4000[1] |
MELAS (Mitochondrial Encephalopathy, Lactic Acidosis, and Stroke-like episodes) is one of the family of mitochondrial diseases, which also include MIDD (maternally inherited diabetes and deafness), MERRF syndrome, and Leber's hereditary optic neuropathy. It was first characterized under this name in 1984.[2] A feature of these diseases is that they are caused by defects in the mitochondrial genome which is inherited purely from the female parent.[3] The most common MELAS mutation is one in mitochondrial DNA (mtDNA) referred to as m.3243A>G.[4]
Signs and symptoms
MELAS is a condition that affects many of the body's systems, particularly the brain and nervous system (encephalo-) and muscles (myopathy). As such, it is commonly referred to as a mitochondrial encephalomyopathy, due to the co-occurrence of these pathologies. In most cases, the signs and symptoms of this disorder appear in childhood following a period of normal development.[5] Children with MELAS often have normal early psychomotor development until the onset of symptoms between 2 and 10 years old. Though less common, infantile onset may occur and may present as failure to thrive, growth retardation and progressive deafness. Onset in older children typically presents as recurrent attacks of a migraine-like headache, anorexia, vomiting, and seizures. Children with MELAS are also frequently found to have short stature.[1]
Most people with MELAS have a buildup of lactic acid in their bodies, a condition called lactic acidemia. Increased acidity in the blood can lead to vomiting, abdominal pain, extreme tiredness (fatigue), muscle weakness, loss of bowel control, and difficulty breathing. Less commonly, people with MELAS may experience involuntary muscle spasms (myoclonus), impaired muscle coordination (ataxia), hearing loss, heart and kidney problems, diabetes, epilepsy, and hormonal imbalances.[6] Lactic acidemia also promotes mitochondrial dysfunction, one of the hallmarks of MELAS pathophysiology.[4]
Differential diagnosis
The presentation of some cases is similar to that of Kearns–Sayre syndrome.[7][1]
Myoclonus epilepsy associated with ragged red fibers (MERRF) may be confused with MELAS as they both involve seizures, mental deterioration, and myopathy with ragged red fibers on biopsy. MERRF patients may also have hearing loss, visual disturbance secondary to optic atrophy, and short stature. The characteristic myoclonic seizure in MERRF may help to narrow diagnosis, but genetic testing should be considered to distinguish the two conditions.[1]
Leigh syndrome may also present with progressive neurological deterioration, seizures, and vomiting, mainly in young children.[1]
Genetics

MELAS is mostly caused by mutations in the genes in mitochondrial DNA, but it can also be caused by mutations in the nuclear DNA.[6]
NADH dehydrogenase
Some of the genes (MT-ND1, MT-ND5) affected in MELAS encode proteins that are part of NADH dehydrogenase (also called complex I) in mitochondria, that helps convert oxygen and simple sugars to energy.[9]
Transfer RNAs
Other genes (MT-TH, MT-TL1, and MT-TV) encode mitochondrial specific transfer RNAs (tRNAs).[10]
Mutations in the mitochondrial MT-TL1 gene cause more than 80 percent of all cases of MELAS. This gene encodes a tRNA specific to the amino acid Leucine. These mutations impair the ability of mitochondria to make proteins, use oxygen, and produce energy. Researchers have not determined how changes in mitochondrial DNA lead to the specific signs and symptoms of MELAS. They continue to investigate the effects of mitochondrial gene mutations in different tissues, particularly in the brain.[11]
Inheritance
This condition is inherited in a mitochondrial pattern, which is also known as maternal inheritance and heteroplasmy. This pattern of inheritance applies to genes contained in mitochondrial DNA. Because egg cells, but not sperm cells, contribute mitochondria to the developing embryo, only females pass mitochondrial conditions to their children. Mitochondrial disorders can appear in every generation of a family and can affect both males and females, but fathers do not pass mitochondrial traits to their children. In most cases, people with MELAS inherit an altered mitochondrial gene from their mother. Less commonly, the disorder results from a new mutation in a mitochondrial gene and occurs in people with no family history of MELAS.
Although first recognised and described in 1984 the condition occurred well before that date. Josiah Wedgwood gave detailed description of this illness in his youngest daughter, Mary Ann Wedgwood (1778–1786).[12] Her illness may provide a link to the illnesses that afflicted her elder brother, Thomas Wedgwood, her eldest sister Susannah Darwin, and Susannah's second son, the famous naturalist, Charles Darwin. The illnesses that afflicted the Wedgwood-Darwin families have a well defined matrilineal inheritance pattern.
Diagnosis
Genetic testing for the m.3243A>G mutation in mitochondrial DNA is commonly used to isolate the diagnosis of MELAS syndrome from other mitochondrial disorders.[13] This mutation is an adenine to guanine point mutation at base pair 3,243 in the mitochondrial genome. A minimum amount of mtDNA must be mutated to generate the MELAS phenotype, known as the "threshold effect".[14] Due to mitochondrial heteroplasmy, urine and blood testing is preferable to blood alone.[1] PCR and ARMS-PCR are commonly used, reliable, rapid, and cost-effective techniques for the diagnosis of MELAS.[11]
Magnetic-resonance imaging (MRI) is a common imaging test used to identify the presence of stroke-like lesions. These lesions are multifocal infarct-like areas of cortical edema in different stages of ischemic evolution, yet do not commonly conform to any known vascular territory, distinguishing them from a stroke. Initial lesions often occur in the occipital or parietal lobes with eventual involvement of the cerebellum, cerebral cortex, basal ganglia, and thalamus.[15] The occipital lobe is thought to be a region prone to stroke-like lesions due to the high energy requirements of the visual cortex.[16]
Lactate levels are often elevated in serum and cerebrospinal fluid. Magnetic resonance spectroscopy (MRS) may show an elevated lactate peak in affected and even unaffected brain areas. Muscle biopsy shows ragged red fibers. However, genetic evaluation should be done first, which eliminates the need for muscle biopsy in most cases. Diagnosis may be molecular or clinical:[11]
- Stroke-like episodes before or after 40 years old
- Encephalopathy with seizures or dementia
- Blood lactic acidosis* or ragged red fibers on muscle biopsy
Sensorineural hearing loss and mitochondrial diabetes are common features.[4] Eyes may have a distinctive speckled pigment in the retina, referred to as a maculopathy. Family members may present differently.
Treatment
There is no curative treatment. The disease remains progressive and fatal.[17][18] Current treatment is aimed towards improving mitochondrial function through both pharmacological and non-pharmacological methods.
Multiple case studies[19][20][21] have suggested that implementation of the Ketogenic diet may help reduce the incidence of stroke-like episodes associated with MELAS, one of the most common clinical features.[4] Ketogenic diet therapy helps with the clearance of reactive-oxygen species (ROS), which commonly accumulate and harm the mitochondria in MELAS.
Other supplementation treatments have been studied:
- Combination therapy with creatine monohydrate, CoQ10, and lipoic acid was shown to improve "surrogate markers of cellular energy dysfunction" in some patients with different forms of mitochondrial cytopathies, including MELAS patients.[22]
- The administration of L-arginine during acute stroke-like episodes has been shown to "[decrease] severity of stroke-like symptoms in MELAS, [enhance] dynamics of the microcirculation, and also [reduce] tissue injury from ischemia."[23]
- High-dose taurine supplementation was used in a phase III clinical trial in which therapy was shown to "reduce the annual relapse rate of stroke-like episodes from 2.22 to 0.72".[24] Taurine supplementation promotes resurgence of normal metabolic activity through the modulation of calcium homeostasis in dysfunctional mitochondria.[25]
Epidemiology
The exact incidence of MELAS is unknown.[26] It is one of the more common conditions in a group known as mitochondrial diseases.[26] Nation-wide studies from Japan and Finland have suggested a prevalence of 1 in 500,000 people[27] and 16 in 100,000 people,[28] respectively. Together, mitochondrial diseases occur in about 1 in 4,000 people.[26]
See also
References
- ^ a b c d e f Pia S, Lui F (2020). "Melas Syndrome". Statpearls. Treasure Island (FL): StatPearls Publishing. PMID 30422554.
Text was copied from this source, which is available under a Creative Commons Attribution 4.0 International License.
- ^ Pavlakis SG, Phillips PC, DiMauro S, De Vivo DC, Rowland LP (October 1984). "Mitochondrial myopathy, encephalopathy, lactic acidosis, and strokelike episodes: a distinctive clinical syndrome". Annals of Neurology. 16 (4): 481–488. doi:10.1002/ana.410160409. PMID 6093682. S2CID 41412358.
- ^ Hirano M, Pavlakis SG (January 1994). "Mitochondrial myopathy, encephalopathy, lactic acidosis, and strokelike episodes (MELAS): current concepts". Journal of Child Neurology. 9 (1): 4–13. doi:10.1177/088307389400900102. PMID 8151079. S2CID 31329972.
- ^ a b c d El-Hattab, Ayman W.; Adesina, Adekunle M.; Jones, Jeremy; Scaglia, Fernando (2015-09-01). "MELAS syndrome: Clinical manifestations, pathogenesis, and treatment options". Molecular Genetics and Metabolism. SI:Therapy. 116 (1): 4–12. doi:10.1016/j.ymgme.2015.06.004. ISSN 1096-7192. PMID 26095523.
- ^ MELAS syndrome at NLM Genetics Home Reference
- ^ a b Valiente-Pallejà, Alba; Tortajada, Juan; Bulduk, Bengisu K.; Vilella, Elisabet; Garrabou, Glòria; Muntané, Gerard; Martorell, Lourdes (2022). "Comprehensive summary of mitochondrial DNA alterations in the postmortem human brain: A systematic review". eBioMedicine. 76. doi:10.1016/j.ebiom.2022.103815. PMC 8790490. PMID 35085849.
- ^ Hirano M, Ricci E, Koenigsberger MR, Defendini R, Pavlakis SG, DeVivo DC, et al. (1992). "Melas: an original case and clinical criteria for diagnosis". Neuromuscular Disorders. 2 (2): 125–135. doi:10.1016/0960-8966(92)90045-8. PMID 1422200. S2CID 45634693.
- ^ Abu-Amero KK, Al-Dhalaan H, Bohlega S, Hellani A, Taylor RW (October 2009). "A patient with typical clinical features of mitochondrial encephalopathy, lactic acidosis and stroke-like episodes (MELAS) but without an obvious genetic cause: a case report". Journal of Medical Case Reports. 3: 77. doi:10.1186/1752-1947-3-77. PMC 2783076. PMID 19946553.
- ^ Tranchant C, Anheim M (2016). "Movement disorders in mitochondrial diseases". Revue Neurologique. 172 (8–9): 524–529. doi:10.1016/j.neurol.2016.07.003. PMID 27476418.
- ^ Yarham, John W.; Elson, Joanna L.; Blakely, Emma L.; McFarland, Robert; Taylor, Robert W. (2010). "Mitochondrial tRNA mutations and disease". WIREs RNA. 1 (2): 304–324. doi:10.1002/wrna.27. ISSN 1757-7012. PMID 21935892.
- ^ a b c Bulduk, B. K., Kiliç, H. B., Bekircan-Kurt, C. E., Haliloğlu, G., Erdem Özdamar, S., Topaloğlu, H., & Kocaefe, Y. Ç. (2020). A Novel Amplification-Refractory Mutation System-PCR Strategy to Screen MT-TL1 Pathogenic Variants in Patient Repositories. Genetic testing and molecular biomarkers, 24(3), 165–170. https://doi.org/10.1089/gtmb.2019.0079
- ^ Hayman, John; Pavlakis, Steven; Finsterer, Josef (2022-02-17). "Mitochondrial Encephalomyopathy, Lactic Acidosis, and Stroke-Like Episodes (MELAS) in the 18th Century: Mitochondrial Disorders Are Not of Recent Origin". Cureus. 14 (2): e22314. doi:10.7759/cureus.22314. ISSN 2168-8184. PMC 8856639. PMID 35198337.
- ^ Na, Ji-Hoon; Lee, Young-Mock (2024-11-28). "Diagnosis and Management of Mitochondrial Encephalopathy, Lactic Acidosis, and Stroke-like Episodes Syndrome". Biomolecules. 14 (12): 1524. doi:10.3390/biom14121524. ISSN 2218-273X. PMC 11672891. PMID 39766231.
- ^ Schapira, Anthony HV (2006-07-01). "Mitochondrial disease". The Lancet. 368 (9529): 70–82. doi:10.1016/S0140-6736(06)68970-8. ISSN 0140-6736. PMID 16815381.
- ^ Khasminsky, Vadim; Auriel, Eitan; Luckman, Judith; Eliahou, Ruth; Inbar, Edna; Pardo, Keshet; Landau, Yuval; Barnea, Rani; Mermelstein, Maor; Shelly, Shahar; Naftali, Jonathan; Peretz, Shlomi (August 2023). "Clinicoradiologic Criteria for the Diagnosis of Stroke-like Episodes in MELAS". Neurology Genetics. 9 (4): e200082. doi:10.1212/NXG.0000000000200082. PMC 10323819. PMID 37426458.
- ^ Wong-Riley, Margaret (July 2010). "Energy metabolism of the visual system". Eye and Brain. 2: 99–116. doi:10.2147/EB.S9078. ISSN 1179-2744. PMC 3515641. PMID 23226947.
- ^ Quinn NM, Stone G, Brett F, Caro-Dominguez P, Neylon O, Lynch B (September 2016). "MELAS (Mitochondrial Encephalomyopathy, Lactic Acidosis, Stroke) - a Diagnosis Not to be Missed". Irish Medical Journal. 109 (8): 455. PMID 28124854.
- ^ Muñoz-Guillén N, León-López R, Ferrer-Higueras MJ, Vargas-Vaserot FJ, Dueñas-Jurado JM (August 2009). "[Arreflexic coma and MELAS syndrome]" [Arreflexic coma and MELAS syndrome]. Revista Clinica Espanola (in Spanish). 209 (7): 337–341. doi:10.1016/s0014-2565(09)71818-1. PMID 19709537.
- ^ Kang, Hoon-Chul; Lee, Young-Mock; Kim, Heung Dong; Lee, Joon Soo; Slama, Abdelhamid (2007). "Safe and Effective Use of the Ketogenic Diet in Children with Epilepsy and Mitochondrial Respiratory Chain Complex Defects". Epilepsia. 48 (1): 82–88. doi:10.1111/j.1528-1167.2006.00906.x. ISSN 1528-1167. PMID 17241212.
- ^ Na, Ji-Hoon; Kim, Heung-Dong; Lee, Young-Mock (2020-01-01). "Effective and safe diet therapies for Lennox-Gastaut syndrome with mitochondrial dysfunction". Therapeutic Advances in Neurological Disorders. 13: 1756286419897813. doi:10.1177/1756286419897813. ISSN 1756-2864. PMC 7005978. PMID 32082420.
- ^ Zweers, Heidi; van Wegberg, Annemiek M. J.; Janssen, Mirian C. H.; Wortmann, Saskia B. (2021-07-03). "Ketogenic diet for mitochondrial disease: a systematic review on efficacy and safety". Orphanet Journal of Rare Diseases. 16 (1): 295. doi:10.1186/s13023-021-01927-w. ISSN 1750-1172. PMC 8254320. PMID 34217336.
- ^ Rodriguez MC, MacDonald JR, Mahoney DJ, Parise G, Beal MF, Tarnopolsky MA (February 2007). "Beneficial effects of creatine, CoQ10, and lipoic acid in mitochondrial disorders". Muscle & Nerve. 35 (2): 235–242. doi:10.1002/mus.20688. PMID 17080429. S2CID 28962906.
- ^ Koga Y, Akita Y, Nishioka J, Yatsuga S, Povalko N, Katayama K, Matsuishi T (2007). "MELAS and L-arginine therapy". Mitochondrion. 7 (1–2): 133–139. doi:10.1016/j.mito.2006.11.006. PMID 17276739.
- ^ Ohsawa, Yutaka; Hagiwara, Hiroki; Nishimatsu, Shin-ichiro; Hirakawa, Akihiro; Kamimura, Naomi; Ohtsubo, Hideaki; Fukai, Yuta; Murakami, Tatsufumi; Koga, Yasutoshi; Goto, Yu-ichi; Ohta, Shigeo; Sunada, Yoshihide (May 2019). "Taurine supplementation for prevention of stroke-like episodes in MELAS: a multicentre, open-label, 52-week phase III trial". Journal of Neurology, Neurosurgery & Psychiatry. 90 (5): 529–536. doi:10.1136/jnnp-2018-317964. ISSN 0022-3050. PMC 6581075. PMID 29666206.
- ^ Schaffer, Stephen; Kim, Ha Won (2018-05-01). "Effects and Mechanisms of Taurine as a Therapeutic Agent". Biomolecules & Therapeutics. 26 (3): 225–241. doi:10.4062/biomolther.2017.251. ISSN 2005-4483. PMC 5933890. PMID 29631391.
- ^ a b c "MELAS". Genetics Home Reference. December 2013. Retrieved 11 April 2017.
This article incorporates text from this source, which is in the public domain.
- ^ Yatsuga, Shuichi; Povalko, Nataliya; Nishioka, Junko; Katayama, Koju; Kakimoto, Noriko; Matsuishi, Toyojiro; Kakuma, Tatsuyuki; Koga, Yasutoshi (May 2012). "MELAS: A nationwide prospective cohort study of 96 patients in Japan". Biochimica et Biophysica Acta (BBA) - General Subjects. 1820 (5): 619–624. doi:10.1016/j.bbagen.2011.03.015. PMID 21443929.
- ^ Majamaa, Kari; Moilanen, Jukka S.; Uimonen, Seija; Remes, Anne M.; Salmela, Pasi I.; Kärppä, Mikko; Majamaa-Voltti, Kirsi A.M.; Rusanen, Harri; Sorri, Martti; Peuhkurinen, Keijo J.; Hassinen, Ilmo E. (August 1998). "Epidemiology of A3243G, the Mutation for Mitochondrial Encephalomyopathy, Lactic Acidosis, and Strokelike Episodes: Prevalence of the Mutation in an Adult Population". The American Journal of Human Genetics. 63 (2): 447–454. doi:10.1086/301959. PMC 1377301. PMID 9683591.
