Germinal epithelium (female)

Germinal epithelium (female)
Section of the ovary. 1. Germinal epithelium. 2. Central stroma. 3. Peripheral stroma. 4. Bloodvessels. 5. Vesicular follicles in their earliest stage. 6, 7, 8. More advanced follicles. 9. An almost mature follicle. 9'. Follicle from which the ovum has escaped. 10. Corpus luteum.
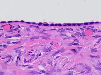
Histology of ovarian surface epithelium. H&E stain. The epithelium is the chain-like covering with round dark blue nuclei at top.
Identifiers
FMA18629
Anatomical terminology

The ovarian surface epithelium, also called the germinal epithelium of Waldeyer,[1] or coelomic epithelium, is a layer of simple squamous-to-cuboidal epithelial cells covering the ovary.[2]

The term germinal epithelium is a misnomer as it does not give rise to primary follicles.[3]

Composition

These cells are derived from the mesoderm during embryonic development and are closely related to the mesothelium of the peritoneum. The germinal epithelium gives the ovary a dull gray color as compared with the shining smoothness of the peritoneum; and the transition between the mesothelium of the peritoneum and the cuboidal cells which cover the ovary is usually marked by a line around the anterior border of the ovary.

Diseases

Ovarian surface epithelium can give rise to surface epithelial-stromal tumor.

References

Public domain This article incorporates text in the public domain from the 20th edition of Gray's Anatomy (1918)

  1. ^ Nishida T, Nishida N (2006). "Reinstatement of "germinal epithelium" of the ovary". Reprod Biol Endocrinol. 4: 42. doi:10.1186/1477-7827-4-42. PMC 1560142. PMID 16923182.
  2. ^ Auersperg, N.; Wong, A. S.; Choi, K. C.; Kang, S. K.; Leung, P. C. (2001). "Ovarian Surface Epithelium: Biology, Endocrinology, and Pathology". Endocrine Reviews. 22 (2): 255–288. doi:10.1210/edrv.22.2.0422. PMID 11294827. S2CID 11013148.
  3. ^ Ross M, Pawlina W (2011). Histology: A Text and Atlas (6th ed.). Lippincott Williams & Wilkins. p. 832. ISBN 978-0-7817-7200-6.