Signet ring cell

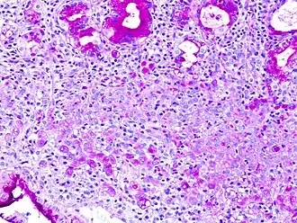
Signet ring cell, as seen in a case of colon adenocarcinoma with mucinous features, showing a tumor cell with a vacuole of mucin. H&E stain.
Signet ring for comparison.

In histology, a signet ring cell is a cell with a large vacuole. The malignant type is seen predominantly in carcinomas. Signet ring cells are most frequently associated with stomach cancer,[1] but can arise from any number of tissues including the prostate,[2] bladder, gallbladder,[3] breast, colon,[4] ovarian stroma and testis.[5]

Types

The NCI Thesaurus identifies the following types of signet ring cell

  • Castration cell, a non-malignant cell arising in the anterior pituitary gland under certain abnormal hormonal conditions.
  • Neoplastic thyroid gland follicular signet ring cell
  • Signet ring adenocarcinoma cell
  • Signet ring melanoma cell
  • Signet ring stromal cell

Appearance

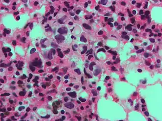
The name of the cell comes from its appearance; signet ring cells resemble signet rings. They contain a large amount of mucin, which pushes the nucleus to the cell periphery. The pool of mucin in a signet ring cell mimics the appearance of a finger hole and the nucleus mimics the appearance of the face of the ring in profile.

Diagnostic significance

A significant number of signet ring cells, generally, are associated with a worse prognosis.[6][7]

Classification of carcinomas

SRC carcinomas can be classified using immunohistochemistry.[8]

See also

References

  1. ^ Cancer Research UK. Signet Ring Cancer. cancerhelp.org.uk. URL: http://www.cancerhelp.org.uk/help/default.asp?page=7581 Archived 2007-10-14 at the Wayback Machine. Accessed on: November 2, 2007.
  2. ^ Leong FJ, Leong AS, Swift J (1996). "Signet-ring carcinoma of the prostate". Pathol. Res. Pract. 192 (12): 1232–8, discussion 1239–41. doi:10.1016/S0344-0338(96)80156-7. PMID 9182294.
  3. ^ Jain V, Gupta K, Kudva R, Rodrigues GS (2006). "A case of ovarian metastasis of gallbladder carcinoma simulating primary ovarian neoplasm: diagnostic pitfalls and review of literature". Int. J. Gynecol. Cancer. 16 Suppl 1: 319–21. doi:10.1111/j.1525-1438.2006.00335.x. PMID 16515613.
  4. ^ Makino T, Tsujinaka T, Mishima H, et al. (2006). "Primary signet-ring cell carcinoma of the colon and rectum: report of eight cases and review of 154 Japanese cases". Hepatogastroenterology. 53 (72): 845–9. PMID 17153438.
  5. ^ Michal M, Hes O, Kazakov DV (2005). "Primary signet-ring stromal tumor of the testis". Virchows Arch. 447 (1): 107–10. doi:10.1007/s00428-005-1218-2. PMID 15909171.
  6. ^ Lee WS, Chun HK, Lee WY, et al. (2007). "Treatment outcomes in patients with signet ring cell carcinoma of the colorectum". Am. J. Surg. 194 (3): 294–8. doi:10.1016/j.amjsurg.2006.12.041. PMID 17693269.
  7. ^ Cabebe EC, Mehta VK, Fisher G. Gastric Cancer. eMedicine.com. URL: http://www.emedicine.com/med/topic845.htm. Accessed on: November 8, 2007.
  8. ^ Tian MM, Zhao AL, Li ZW, Li JY (2007). "Phenotypic classification of gastric signet ring cell carcinoma and its relationship with clinicopathologic parameters and prognosis". World J. Gastroenterol. 13 (23): 3189–98. PMID 17589897.