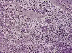
Trichilemmal carcinoma

Trichilemmal carcinoma
Other namesTricholemmal carcinoma
SpecialtyOncology, dermatology Edit this on Wikidata

Trichilemmal carcinoma is a cutaneous condition reported to arise on sun-exposed areas, most commonly the face and ears.[1]: 674 

See also

A similar tumor, although in the nail bed, is called onycholemmal.[2]

References

  1. ^ James, William D.; Berger, Timothy G.; et al. (2006). Andrews' Diseases of the Skin: Clinical Dermatology. Saunders Elsevier. ISBN 0-7216-2921-0.
  2. ^ Rashid, Rashid M.; Cutlan, Jonathan E. (2010). "Onycholemmal carcinoma". Dermatology Online Journal. 16 (3): 12. doi:10.5070/D31jn1d7z2. PMID 20233569.