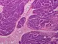
Dermal cylindroma

Dermal cylindroma
Dermal cylindroma treated with X-rays without recurrence

In dermatologic pathology, a dermal cylindroma, also dermal eccrine cylindroma or cutaneous cylindroma[1]: 666 ) and (less specifically) cylindroma, is a benign adnexal tumor[2] that occurs on the scalp and forehead.

Multiple cylindromas may grow together in a "hat-like" configuration, sometimes referred to as a turban tumor.[3] Cylindromas are uncommon dysplasias of skin appendages.[4]

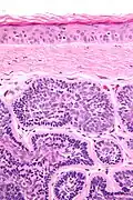
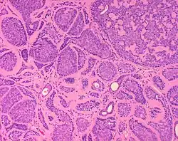
Histology

Micrograph of a cylindroma. H/E stain

Dermal cylindromas are:

  • Dermal lesions consisting of nests of cells that are surrounded by hyaline (i.e., glassy, eosinophilic, acellular) material and have:
    • Hyperchromatic nuclei that may palisade (columnar nuclei arranged around the periphery of the cell nests with their short axis tangential to the nest periphery), and
    • Cells with lighter staining ovoid nuclei at their centre.

They lack of a significant number of lymphocytes; this differentiates them from spiradenomas.

Additional images

See also

References

  1. ^ James, William D.; Berger, Timothy G.; et al. (2006). Andrews' Diseases of the Skin: clinical Dermatology. Saunders Elsevier. ISBN 0-7216-2921-0.
  2. ^ "Cylindroma" at Dorland's Medical Dictionary
  3. ^ "Cylindroma: Background, Pathophysiology, Epidemiology". 14 July 2021.
  4. ^ Cylindroma at eMedicine